Serotype G12 Rotaviruses, Lilongwe, Malawi
Supporting Files
Public Domain
-
Jan 2009
-
File Language:
English
Details
-
Alternative Title:Emerg Infect Dis
-
Personal Author:
-
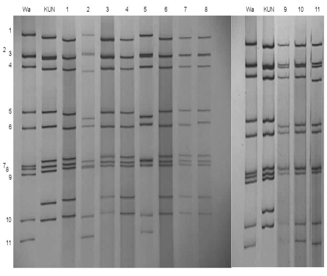
Description:To assess diversity of rotavirus strains in Lilongwe, Malawi, we conducted a cross-sectional study of children with acute gastroenteritis, July 2005-June 2007. Serotype G12 was identified in 30 (5%) of 546 rotavirus-positive fecal specimens. The G12 strain possessed multiple electropherotypes and P-types, but their viral protein 7 sequences were closely related, indicating that reassortment has occurred.
-
Subjects:
-
Source:Emerg Infect Dis. 15(1):87-90.
-
Document Type:
-
Place as Subject:
-
Volume:15
-
Issue:1
-
Collection(s):
-
Main Document Checksum:urn:sha256:32c093d5f96166e9c5ff959666655c73de7e5441cec9cd30ebd93da3fc0cdb2c
-
Download URL:
-
File Type:
Supporting Files
File Language:
English
ON THIS PAGE
CDC STACKS serves as an archival repository of CDC-published products including
scientific findings,
journal articles, guidelines, recommendations, or other public health information authored or
co-authored by CDC or funded partners.
As a repository, CDC STACKS retains documents in their original published format to ensure public access to scientific information.
As a repository, CDC STACKS retains documents in their original published format to ensure public access to scientific information.
You May Also Like
COLLECTION
Emerging Infectious Diseases