Susceptibility of North American Ducks and Gulls to H5N1 Highly Pathogenic Avian Influenza Viruses
Supporting Files
Public Domain
-
Nov 2006
-
Details
-
Alternative Title:Emerg Infect Dis
-
Personal Author:
-
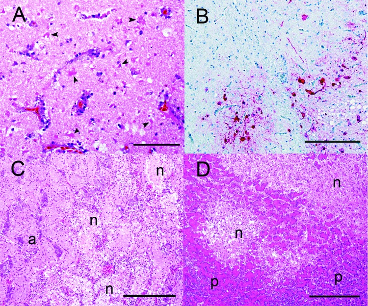
Description:Since 2002, H5N1 highly pathogenic avian influenza (HPA1) viruses have been associated with deaths in numerous wild avian species throughout Eurasia. We assessed the clinical response and extent and duration of viral shedding in 5 species of North American ducks and laughing gulls (Larus atricilla) after intranasal challenge with 2 Asian H5N1 HPAI viruses. Birds were challenged at approximately equal to 10 to 16 weeks of age, consistent with temporal peaks in virus prevalence and fall migration. All species were infected, but only wood ducks (Aix sponsa) and laughing gulls exhibited illness or died. Viral titers were higher in oropharyngeal swabs than in cloacal swabs. Duration of viral shedding (1-10 days) increased with severity of clinical disease. Both the hemagglutination-inhibition (HI) and agar gel precipitin (AGP) tests were able to detect postinoculation antibodies in surviving wood ducks and laughing gulls; the HI test was more sensitive than the AGP in the remaining 4 species.
-
Subjects:
-
Source:Emerg Infect Dis. 12(11):1663-1670.
-
Document Type:
-
Volume:12
-
Issue:11
-
Collection(s):
-
Main Document Checksum:urn:sha256:0906e6c472c5ab59ab50c0373fb9c69f551c4911ccd41d0135c765d88dcce382
-
Download URL:
-
File Type:
Supporting Files
ON THIS PAGE
CDC STACKS serves as an archival repository of CDC-published products including
scientific findings,
journal articles, guidelines, recommendations, or other public health information authored or
co-authored by CDC or funded partners.
As a repository, CDC STACKS retains documents in their original published format to ensure public access to scientific information.
As a repository, CDC STACKS retains documents in their original published format to ensure public access to scientific information.
You May Also Like
COLLECTION
Emerging Infectious Diseases