Clinicopathologic and Molecular Features of Intracranial Desmoplastic Small Round Cell Tumors
Supporting Files
-
December 29 2019
-
File Language:
English
Details
-
Alternative Title:Brain Pathol
-
Personal Author:Lee, Julieann C. ; Villanueva-Meyer, Javier E. ; Ferris, Sean P. ; Cham, Elaine M. ; Zucker, Jacob ; Cooney, Tabitha ; Gilani, Ahmed ; Kleinschmidt-DeMasters, Bette K. ; Trembath, Dimitri ; Mafra, Manuela ; Chiang, Jason ; Ellison, David W. ; Cho, Soo-Jin ; Horvai, Andrew E. ; Van Ziffle, Jessica ; Onodera, Courtney ; Devine, Patrick ; Grenert, James P. ; de Voijs, Carmen M.A. ; van Blokland, W.T. Marja ; de Leng, Wendy W. J. ; Ploegmakers, Marieke J. ; Flucke, Uta ; Pekmezci, Melike ; Bollen, Andrew W. ; Tihan, Tarik ; Koelsche, Christian ; von Deimling, Andreas ; Wesseling, Pieter ; Solomon, David A. ; Perry, Arie
-
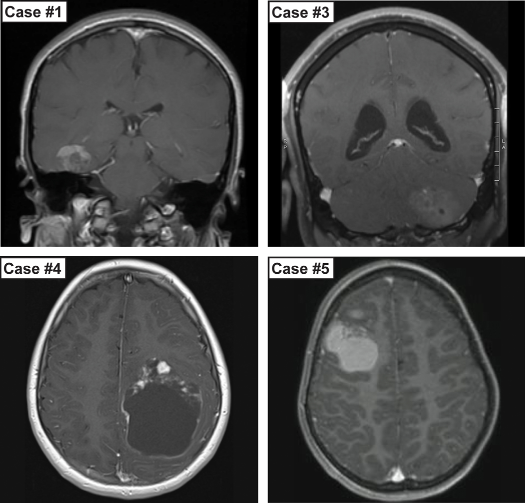
Description:Desmoplastic small round cell tumors (DSRCTs) are highly aggressive sarcomas that most commonly occur intra-abdominally, and are defined by EWSR1-WT1 gene fusion. Intracranial DSRCTs are exceptionally rare with only seven previously reported fusion-positive cases. Herein, we evaluate the clinical, morphologic, immunohistochemical and molecular features of five additional examples. All patients were male (age range 6-25 years; median 11 years), with four tumors located supratentorially and one within the posterior fossa. The histologic features were highly variable including small cell, embryonal, clear cell, rhabdoid, anaplastic and glioma-like appearances. A prominent desmoplastic stroma was seen in only two cases. The mitotic index ranged from <1 to 12/10 HPF (median 5). While all tumors showed strong desmin positivity, epithelial markers such as EMA, CAM 5.2 and other keratins were strongly positive in only one, focally positive in two and negative in two cases. EWSR1-WT1 gene fusion was present in all cases, with accompanying mutations in the TERT promoter or STAG2 gene in individual cases. Given the significant histologic diversity, in the absence of genetic evaluation these cases could easily be misinterpreted as other entities. Desmin immunostaining is a useful initial screening method for consideration of a DSRCT diagnosis, prompting confirmatory molecular testing. Demonstrating the presence of an EWSR1-WT1 fusion provides a definitive diagnosis of DSRCT. Genome-wide methylation profiles of intracranial DSRCTs matched those of extracranial DSRCTs. Thus, despite the occasionally unusual histologic features and immunoprofile, intracranial DSRCTs likely represent a similar, if not the same, entity as their soft tissue counterpart based on the shared fusion and methylation profiles.
-
Subjects:
-
Source:Brain Pathol. 30(2):213-225
-
Pubmed ID:31837177
-
Pubmed Central ID:PMC7780368
-
Document Type:
-
Funding:
-
Volume:30
-
Issue:2
-
Collection(s):
-
Main Document Checksum:urn:sha256:33320d0f4c6fed3b74c807bc867dcf167c9bcab338b0908479562be91204af5f
-
Download URL:
-
File Type:
Supporting Files
File Language:
English
ON THIS PAGE
CDC STACKS serves as an archival repository of CDC-published products including
scientific findings,
journal articles, guidelines, recommendations, or other public health information authored or
co-authored by CDC or funded partners.
As a repository, CDC STACKS retains documents in their original published format to ensure public access to scientific information.
As a repository, CDC STACKS retains documents in their original published format to ensure public access to scientific information.
You May Also Like
COLLECTION
CDC Public Access