Guiana Dolphin Unusual Mortality Event and Link to Cetacean Morbillivirus, Brazil
Supporting Files
Public Domain
-
Jul 2018
-
File Language:
English
Details
-
Alternative Title:Emerg Infect Dis
-
Personal Author:
-
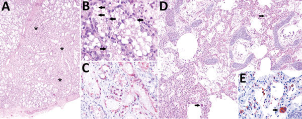
Description:During November-December 2017, a mass die-off of Guiana dolphins (Sotalia guianensis) began in Rio de Janeiro, Brazil. Molecular and pathologic investigations on 20 animals indicated that cetacean morbillivirus played a major role. Our findings increase the knowledge on health and disease aspects of this endangered species.
-
Subjects:
-
Source:Emerg Infect Dis. 24(7):1349-1354.
-
Pubmed ID:29912687
-
Pubmed Central ID:PMC6038766
-
Document Type:
-
Genre:
-
Place as Subject:
-
Volume:24
-
Issue:7
-
Collection(s):
-
Main Document Checksum:urn:sha256:b7a96f55f9cbb9a0de7681b9c8196ea761ec80468ee15fa3a3e46d0fdac150ff
-
Download URL:
-
File Type:
Supporting Files
File Language:
English
ON THIS PAGE
CDC STACKS serves as an archival repository of CDC-published products including
scientific findings,
journal articles, guidelines, recommendations, or other public health information authored or
co-authored by CDC or funded partners.
As a repository, CDC STACKS retains documents in their original published format to ensure public access to scientific information.
As a repository, CDC STACKS retains documents in their original published format to ensure public access to scientific information.
You May Also Like
COLLECTION
Emerging Infectious Diseases