Occupation-Associated Fatal Limbic Encephalitis Caused by Variegated Squirrel Bornavirus 1, Germany, 2013
Supporting Files
Public Domain
-
Jun 2018
-
File Language:
English
Details
-
Alternative Title:Emerg Infect Dis
-
Personal Author:Tappe, Dennis ; Schlottau, Kore ; Cadar, Daniel ; Hoffmann, Bernd ; Balke, Lorenz ; Bewig, Burkhard ; Hoffmann, Donata ; Eisermann, Philip ; Fickenscher, Helmut ; Krumbholz, Andi ; Laufs, Helmut ; Huhndorf, Monika ; Rosenthal, Maria ; Schulz-Schaeffer, Walter ; Ismer, Gabriele ; Hotop, Sven-Kevin ; Brönstrup, Mark ; Ott, Anthonina ; Schmidt-Chanasit, Jonas ; Beer, Martin
-
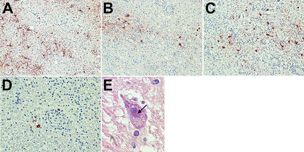
Description:Limbic encephalitis is commonly regarded as an autoimmune-mediated disease. However, after the recent detection of zoonotic variegated squirrel bornavirus 1 in a Prevost's squirrel (Callosciurus prevostii) in a zoo in northern Germany, we retrospectively investigated a fatal case in an autoantibody-seronegative animal caretaker who had worked at that zoo. The virus had been discovered in 2015 as the cause of a cluster of cases of fatal encephalitis among breeders of variegated squirrels (Sciurus variegatoides) in eastern Germany. Molecular assays and immunohistochemistry detected a limbic distribution of the virus in brain tissue of the animal caretaker. Phylogenetic analyses demonstrated a spillover infection from the Prevost's squirrel. Antibodies against bornaviruses were detected in the patient's cerebrospinal fluid by immunofluorescence and newly developed ELISAs and immunoblot. The putative antigenic epitope was identified on the viral nucleoprotein. Other zoo workers were not infected; however, avoidance of direct contact with exotic squirrels and screening of squirrels are recommended.
-
Subjects:
-
Source:Emerg Infect Dis. 24(6):978-987.
-
Pubmed ID:29774846
-
Pubmed Central ID:PMC6004865
-
Document Type:
-
Genre:
-
Place as Subject:
-
Volume:24
-
Issue:6
-
Collection(s):
-
Main Document Checksum:urn:sha256:a48035f475513e8c8f2722f646e6e0c7e6318e801903779b50dfec9725e78fa8
-
Download URL:
-
File Type:
Supporting Files
File Language:
English
ON THIS PAGE
CDC STACKS serves as an archival repository of CDC-published products including
scientific findings,
journal articles, guidelines, recommendations, or other public health information authored or
co-authored by CDC or funded partners.
As a repository, CDC STACKS retains documents in their original published format to ensure public access to scientific information.
As a repository, CDC STACKS retains documents in their original published format to ensure public access to scientific information.
You May Also Like
COLLECTION
Emerging Infectious Diseases