Postmortem Findings for 7 Neonates with Congenital Zika Virus Infection
Supporting Files
Public Domain
-
Jul 15 2017
-
File Language:
English
Details
-
Alternative Title:Emerg Infect Dis
-
Personal Author:
-
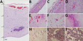
Description:Postmortem examination of 7 neonates with congenital Zika virus infection in Brazil revealed microcephaly, ventriculomegaly, dystrophic calcifications, and severe cortical neuronal depletion in all and arthrogryposis in 6. Other findings were leptomeningeal and brain parenchymal inflammation and pulmonary hypoplasia and lymphocytic infiltration in liver and lungs. Findings confirmed virus neurotropism and multiple organ infection.
-
Subjects:
-
Source:Emerg Infect Dis. 23(7):1164-1167.
-
Pubmed ID:28459414
-
Pubmed Central ID:PMC5512501
-
Document Type:
-
Place as Subject:
-
Volume:23
-
Issue:7
-
Collection(s):
-
Main Document Checksum:urn:sha256:cf59140663e71b165909f50ae1016baa23337cfa643665f0e510aa60b0e82dfd
-
Download URL:
-
File Type:
Supporting Files
File Language:
English
ON THIS PAGE
CDC STACKS serves as an archival repository of CDC-published products including
scientific findings,
journal articles, guidelines, recommendations, or other public health information authored or
co-authored by CDC or funded partners.
As a repository, CDC STACKS retains documents in their original published format to ensure public access to scientific information.
As a repository, CDC STACKS retains documents in their original published format to ensure public access to scientific information.
You May Also Like
COLLECTION
Emerging Infectious Diseases