Domestic Pig Unlikely Reservoir for MERS-CoV
Supporting Files
Public Domain
-
Jun 15 2017
-
File Language:
English
Details
-
Alternative Title:Emerg Infect Dis
-
Personal Author:
-
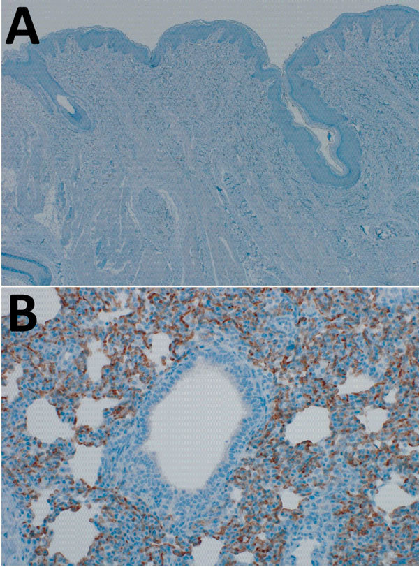
Description:We tested the suitability of the domestic pig as a model for Middle East respiratory syndrome coronavirus (MERS-CoV) infection. Inoculation did not cause disease, but a low level of virus replication, shedding, and seroconversion were observed. Pigs do not recapitulate human MERS-CoV and are unlikely to constitute a reservoir in nature.
-
Subjects:
-
Source:Emerg Infect Dis. 23(6):985-988.
-
Pubmed ID:28318484
-
Pubmed Central ID:PMC5443456
-
Document Type:
-
Place as Subject:
-
Location:
-
Volume:23
-
Issue:6
-
Collection(s):
-
Main Document Checksum:urn:sha256:8b02993e9699d0e70d217d8f10eb19e6575f67a4570f128e83313095bf2dc2ad
-
Download URL:
-
File Type:
Supporting Files
File Language:
English
ON THIS PAGE
CDC STACKS serves as an archival repository of CDC-published products including
scientific findings,
journal articles, guidelines, recommendations, or other public health information authored or
co-authored by CDC or funded partners.
As a repository, CDC STACKS retains documents in their original published format to ensure public access to scientific information.
As a repository, CDC STACKS retains documents in their original published format to ensure public access to scientific information.
You May Also Like
COLLECTION
Emerging Infectious Diseases