Severe Neurologic Disorders in 2 Fetuses with Zika Virus Infection, Colombia
Supporting Files
Public Domain
-
Jun 15 2017
-
Details
-
Alternative Title:Emerg Infect Dis
-
Personal Author:Acosta-Reyes, Jorge ; Navarro, Edgar ; Herrera, Maria José ; Goenaga, Eloina ; Ospina, Martha L. ; Parra, Edgar ; Mercado, Marcela ; Chaparro, Pablo ; Beltran, Mauricio ; Gunturiz, Maria Luz ; Pardo, Lissethe ; Valencia, Catalina ; Huertas, Sandra ; Rodríguez, Jorge ; Ruiz, Germán ; Valencia, Diana ; Haddad, Lisa B. ; Tinker, Sarah C. ; Moore, Cynthia A. ; Baquero, Hernando ; Acosta-Reyes, Jorge ; Navarro, Edgar ; Herrera, Maria José ; Goenaga, Eloina ; Ospina, Martha L. ; Parra, Edgar ; Mercado, Marcela ; Chaparro, Pablo ; Beltran, Mauricio ; Gunturiz, Maria Luz ; Pardo, Lissethe ; Valencia, Catalina ; Huertas, Sandra ; Rodríguez, Jorge ; Ruiz, Germán ; Valencia, Diana ; Haddad, Lisa B. ; Tinker, Sarah C. ; Moore, Cynthia A. ; Baquero, Hernando
-
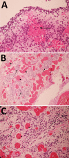
Description:We report the results of pathologic examinations of 2 fetuses from women in Colombia with Zika virus infection during pregnancy that revealed severe central nervous system defects and potential associated abnormalities of the eye, spleen, and placenta. Amniotic fluid and tissues from multiple fetal organs tested positive for Zika virus.
-
Subjects:
-
Source:Emerg Infect Dis. 23(6):982-984. ; Emerg Infect Dis. 23(6):982-984.
-
Pubmed ID:28296632
-
Pubmed Central ID:PMC5443437
-
Document Type:
-
Volume:23
-
Issue:6
-
Collection(s):
-
Main Document Checksum:urn:sha256:8fa215efb6d9974655bff07c48bc2d3d5341e97147f10633f33788fc3e3aff12
-
Download URL:
-
File Type:
Supporting Files
ON THIS PAGE
CDC STACKS serves as an archival repository of CDC-published products including
scientific findings,
journal articles, guidelines, recommendations, or other public health information authored or
co-authored by CDC or funded partners.
As a repository, CDC STACKS retains documents in their original published format to ensure public access to scientific information.
As a repository, CDC STACKS retains documents in their original published format to ensure public access to scientific information.
You May Also Like
COLLECTION
Emerging Infectious Diseases