Silicosis and Coal Worker's Pneumoconiosis
Supporting Files
Public Domain
-
2000/08/01
File Language:
English
Details
-
Journal Article:Environmental Health Perspectives
-
Personal Author:
-
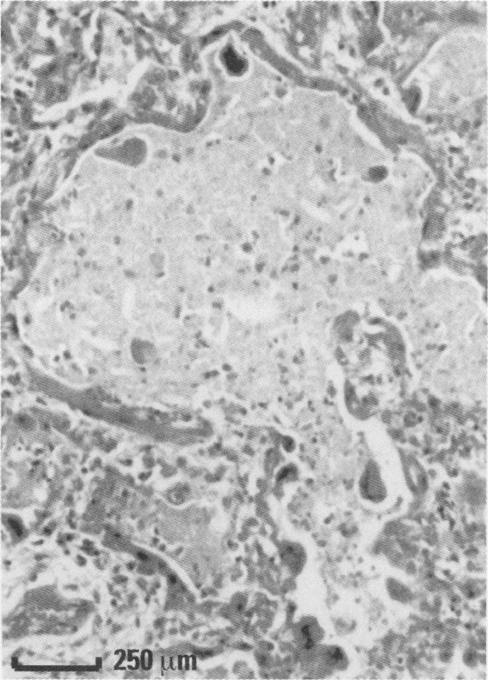
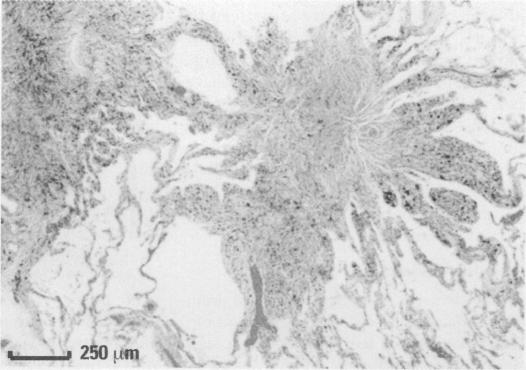
Description:Exposure to coal mine dust and/or crystalline silica results in pneumoconiosis with initiation and progression of pulmonary fibrosis. This review presents characteristics of simple and complicated coal workers' pneumoconiosis (CWP) as well as pathologic indices of acute and chronic silicosis by summarizing results of in vitro, animal, and human investigations. These results support four basic mechanisms in the etiology of CWP and silicosis: a) direct cytotoxicity of coal dust or silica, resulting in lung cell damage, release of lipases and proteases, and eventual lung scarring; b) activation of oxidant production by pulmonary phagocytes, which overwhelms the antioxidant defenses and leads to lipid peroxidation, protein nitrosation, cell injury, and lung scarring; c) activation of mediator release from alveolar macrophages and epithelial cells, which leads to recruitment of polymorphonuclear leukocytes and macrophages, resulting in the production of proinflammatory cytokines and reactive species and in further lung injury and scarring; d) secretion of growth factors from alveolar macrophages and epithelial cells, stimulating fibroblast proliferation and eventual scarring. Results of in vitro and animal studies provide a basis for proposing these mechanisms for the initiation and progression of pneumoconiosis. Data obtained from exposed workers lend support to these mechanisms. [Description provided by NIOSH]
-
Subjects:
-
Keywords:Author Keywords: Black Lung Disease; Coal Mine Dust; Crystalline Silica; Cytokines; Lung Disease; Occupational Diseases; Occupational Exposures; Pulmonary Fibrosis, Reactive Oxygen Species Silicosis; Pneumoconiosis; Coal Workers; Coal Miners; Coal Dust; Dust Exposure; Dust Inhalation; Dust Particles; Dusts; Occupational Exposure; Silica Dusts; Silicates; Fibrosis; Lung Fibrosis; Pulmonary System Disorders; Respiratory System Disorders; Lung Disease; Occupational Diseases; Respirable Dust;
-
Source:Environ Health Perspect 2000 Aug; 108(Suppl 4):675-684
-
ISSN:0091-6765
-
Document Type:
-
Genre:
-
Place as Subject:
-
CIO:
-
Division:
-
Topic:
-
Location:
-
Pages in Document:10 pdf pages
-
Volume:108
-
NIOSHTIC Number:nn:20020628
-
Contact Point Address:V. Castranova, PPRB/HELD/NIOSH, 1095 Willowdale Road, MS 2015, Morgantown, WV 26505, USA
-
Email:vic1@cdc.gov
-
CAS Registry Number:
-
Federal Fiscal Year:2000
-
Peer Reviewed:True
-
Collection(s):
-
Main Document Checksum:urn:sha-512:5fed0036c5d4305248ccbce3986180c1f9495c2b3e904ab715880e8eeff1e9be6eb5170cbd04dbb9f70cfa411950d89e94ae9b9d3dbad1398aee00ebcd902558
-
Download URL:
-
File Type:
Supporting Files
Related Documents
File Language:
English
ON THIS PAGE
CDC STACKS serves as an archival repository of CDC-published products including
scientific findings,
journal articles, guidelines, recommendations, or other public health information authored or
co-authored by CDC or funded partners.
As a repository, CDC STACKS retains documents in their original published format to ensure public access to scientific information.
As a repository, CDC STACKS retains documents in their original published format to ensure public access to scientific information.
You May Also Like