In Vitro Cytotoxicity of Manville Code 100 Glass Fibers: Effect of Fiber Length on Human Alveolar Macrophages
Supporting Files
Public Domain
-
2006/03/28
-
File Language:
English
Details
-
Journal Article:Particle and Fibre Toxicology
-
Personal Author:
-
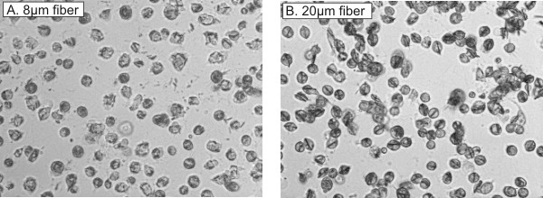
Description:Synthetic vitreous fibers (SVFs) are inorganic noncrystalline materials widely used in residential and industrial settings for insulation, filtration, and reinforcement purposes. SVFs conventionally include three major categories: fibrous glass, rock/slag/stone (mineral) wool, and ceramic fibers. Previous in vitro studies from our laboratory demonstrated length-dependent cytotoxic effects of glass fibers on rat alveolar macrophages which were possibly associated with incomplete phagocytosis of fibers = 17 um in length. The purpose of this study was to examine the influence of fiber length on primary human alveolar macrophages, which are larger in diameter than rat macrophages, using length-classified Manville Code 100 glass fibers (8, 10, 16, and 20 um). It was hypothesized that complete engulfment of fibers by human alveolar macrophages could decrease fiber cytotoxicity; i.e. shorter fibers that can be completely engulfed might not be as cytotoxic as longer fibers. Human alveolar macrophages, obtained by segmental bronchoalveolar lavage of healthy, non-smoking volunteers, were treated with three different concentrations (determined by fiber number) of the sized fibers in vitro. Cytotoxicity was assessed by monitoring cytosolic lactate dehydrogenase release and loss of function as indicated by a decrease in zymosan-stimulated chemiluminescence. Microscopic analysis indicated that human alveolar macrophages completely engulfed glass fibers of the 20 um length. All fiber length fractions tested exhibited equal cytotoxicity on a per fiber basis, i.e. increasing lactate dehydrogenase and decreasing chemiluminescence in the same concentration-dependent fashion. The data suggest that due to the larger diameter of human alveolar macrophages, compared to rat alveolar macrophages, complete phagocytosis of longer fibers can occur with the human cells. Neither incomplete phagocytosis nor length-dependent toxicity was observed in fiber-exposed human macrophage cultures. In contrast, rat macrophages exhibited both incomplete phagocytosis of long fibers and length-dependent toxicity. The results of the human and rat cell studies suggest that incomplete engulfment may enhance cytotoxicity of fiber glass. However, the possibility should not be ruled out that differences between human versus rat macrophages other than cell diameter could account for differences in fiber effects. [Description provided by NIOSH]
-
Subjects:
-
Keywords:
-
Source:Part Fibre Toxicol 2006 Mar; 3:5
-
ISSN:1743-8977
-
Document Type:
-
Genre:
-
Place as Subject:
-
CIO:
-
Division:
-
Topic:
-
Location:
-
Pages in Document:7 pdf pages
-
Volume:3
-
NIOSHTIC Number:nn:20030329
-
Email:paz9@cdc.gov
-
Federal Fiscal Year:2006
-
NORA Priority Area:
-
Peer Reviewed:True
-
Collection(s):
-
Main Document Checksum:urn:sha-512:2fe94d28157425ee973e0f12d39f2648daba41acf10493b70c597cd0a9566e8132c48cbef6dd6a30afb49e74571769c8c071ee03e185540a1e01434735549515
-
Download URL:
-
File Type:
Supporting Files
File Language:
English
ON THIS PAGE
CDC STACKS serves as an archival repository of CDC-published products including
scientific findings,
journal articles, guidelines, recommendations, or other public health information authored or
co-authored by CDC or funded partners.
As a repository, CDC STACKS retains documents in their original published format to ensure public access to scientific information.
As a repository, CDC STACKS retains documents in their original published format to ensure public access to scientific information.
You May Also Like