Isolation of Prion with BSE Properties from Farmed Goat
Supporting Files
Public Domain
-
Dec 2011
-
Details
-
Alternative Title:Emerg Infect Dis
-
Personal Author:
-
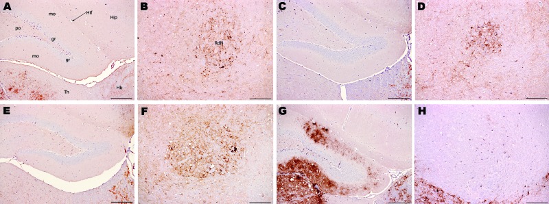
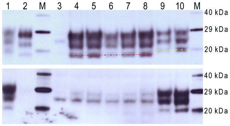
Description:Transmissible spongiform encephalopathies are fatal neurodegenerative diseases that include variant Creutzfeldt-Jakob disease in humans, scrapie in small ruminants, and bovine spongiform encephalopathy (BSE) in cattle. Scrapie is not considered a public health risk, but BSE has been linked to variant Creutzfeldt-Jakob disease. Small ruminants are susceptible to BSE, and in 2005 BSE was identified in a farmed goat in France. We confirm another BSE case in a goat in which scrapie was originally diagnosed and retrospectively identified as suspected BSE. The prion strain in this case was further characterized by mouse bioassay after extraction from formaldehyde-fixed brain tissue embedded in paraffin blocks. Our data show that BSE can infect small ruminants under natural conditions and could be misdiagnosed as scrapie. Surveillance should continue so that another outbreak of this zoonotic transmissible spongiform encephalopathy can be prevented and public health safeguarded.
-
Subjects:
-
Source:Emerg Infect Dis. 17(12):2253-2261.
-
Document Type:
-
Volume:17
-
Issue:12
-
Collection(s):
-
Main Document Checksum:urn:sha256:957d362018191e2fd1290a25b306dba63dd55396003aa87b7796ba284de41f68
-
Download URL:
-
File Type:
Supporting Files
ON THIS PAGE
CDC STACKS serves as an archival repository of CDC-published products including
scientific findings,
journal articles, guidelines, recommendations, or other public health information authored or
co-authored by CDC or funded partners.
As a repository, CDC STACKS retains documents in their original published format to ensure public access to scientific information.
As a repository, CDC STACKS retains documents in their original published format to ensure public access to scientific information.
You May Also Like
COLLECTION
Emerging Infectious Diseases