New Delhi Metallo-β-Lactamase–producing Enterobacteriaceae, United States
Supporting Files
Public Domain
-
Jun 2013
-
File Language:
English
Details
-
Alternative Title:Emerg Infect Dis
-
Personal Author:
-
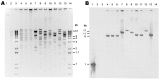
Description:We characterized 9 New Delhi metallo-β-lactamase-producing Enterobacteriaceae (5 Klebsiella pneumoniae, 2 Escherichia coli, 1 Enterobacter cloacae, 1 Salmonella enterica serovar Senftenberg) isolates identified in the United States and cultured from 8 patients in 5 states during April 2009-March 2011. Isolates were resistant to β-lactams, fluoroquinolones, and aminoglycosides, demonstrated MICs ≤1 µg/mL of colistin and polymyxin, and yielded positive metallo-β-lactamase screening results. Eight isolates had blaNDM-1, and 1 isolate had a novel allele (blaNDM-6). All 8 patients had recently been in India or Pakistan, where 6 received inpatient health care. Plasmids carrying blaNDM frequently carried AmpC or extended spectrum β-lactamase genes. Two K. pneumoniae isolates and a K. pneumoniae isolate from Sweden shared incompatibility group A/C plasmids with indistinguishable restriction patterns and a common blaNDM fragment; all 3 were multilocus sequence type 14. Restriction profiles of the remaining New Delhi metallo-β-lactamase plasmids, including 2 from the same patient, were diverse.
-
Subjects:
-
Source:Emerg Infect Dis. 19(6):870-878.
-
Document Type:
-
Place as Subject:
-
Location:
-
Volume:19
-
Issue:6
-
Collection(s):
-
Main Document Checksum:urn:sha256:480e81f6903f2b00939c84dd7fbc9b5aa8ae072077da8a628b6e11c0e77b2a3c
-
Download URL:
-
File Type:
Supporting Files
File Language:
English
ON THIS PAGE
CDC STACKS serves as an archival repository of CDC-published products including
scientific findings,
journal articles, guidelines, recommendations, or other public health information authored or
co-authored by CDC or funded partners.
As a repository, CDC STACKS retains documents in their original published format to ensure public access to scientific information.
As a repository, CDC STACKS retains documents in their original published format to ensure public access to scientific information.
You May Also Like
COLLECTION
Emerging Infectious Diseases