Amblyomma imitator Ticks as Vectors of Rickettsia rickettsii, Mexico
Supporting Files
Public Domain
-
Aug 2010
-
File Language:
English
Details
-
Alternative Title:Emerg Infect Dis
-
Personal Author:Oliveira, Karla A. ; Pinter, Adriano ; Medina-Sanchez, Aaron ; Boppana, Venkata D. ; Wikel, Stephen K. ; Saito, Tais B. ; Shelite, Thomas ; Blanton, Lucas ; Popov, Vsevolod ; Teel, Pete D. ; Walker, David H. ; Galvao, Marcio A.M. ; Mafra, Claudio ; Bouyer, Donald H. ; Oliveira, Karla A. ; Pinter, Adriano ; Medina-Sanchez, Aaron ; Boppana, Venkata D. ; Wikel, Stephen K. ; Saito, Tais B. ; Shelite, Thomas ; Blanton, Lucas ; Popov, Vsevolod ; Teel, Pete D. ; Walker, David H. ; Galvao, Marcio A.M. ; Mafra, Claudio ; Bouyer, Donald H.
-
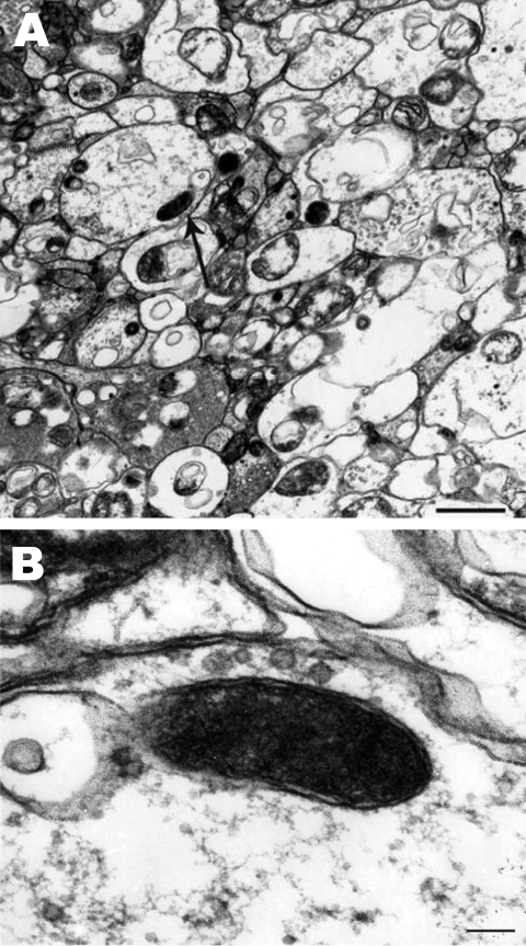
Description:Real-time PCR of Amblyomma imitator tick egg masses obtained in Nuevo Leon State, Mexico, identified a Rickettsia species. Sequence analyses of 17-kD common antigen and outer membrane protein A and B gene fragments showed to it to be R. rickettsii, which suggested a potential new vector for this bacterium.
-
Subjects:
-
Source:Emerg Infect Dis. 16(8):1282-1284. ; Emerg Infect Dis. 16(8):1282-1284.
-
Document Type:
-
Place as Subject:
-
Volume:16
-
Issue:8
-
Collection(s):
-
Main Document Checksum:urn:sha256:d86c9954ea340c5e851b65bebee19277b2db45aeffabf5f223099b1281c935f6
-
Download URL:
-
File Type:
Supporting Files
File Language:
English
ON THIS PAGE
CDC STACKS serves as an archival repository of CDC-published products including
scientific findings,
journal articles, guidelines, recommendations, or other public health information authored or
co-authored by CDC or funded partners.
As a repository, CDC STACKS retains documents in their original published format to ensure public access to scientific information.
As a repository, CDC STACKS retains documents in their original published format to ensure public access to scientific information.
You May Also Like
COLLECTION
Emerging Infectious Diseases