Molecular Model of Prion Transmission to Humans
Supporting Files
-
Dec 2009
-
Details
-
Alternative Title:Emerg Infect Dis
-
Personal Author:
-
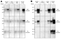
Description:To assess interspecies barriers to transmission of transmissible spongiform encephalopathies, we investigated the ability of disease-associated prion proteins (PrPd) to initiate conversion of the human normal cellular form of prion protein of the 3 major PRNP polymorphic variants in vitro. Protein misfolding cyclic amplification showed that conformation of PrPd partly determines host susceptibility.
-
Subjects:
-
Source:Emerg Infect Dis. 15(12):2013-2016.
-
Document Type:
-
Funding:
-
Volume:15
-
Issue:12
-
Collection(s):
-
Main Document Checksum:urn:sha256:161a4ed237f72d609ed2e2a5cf514b77f59e1b0fc4ed0e8aae9d4b909599505c
-
Download URL:
-
File Type:
Supporting Files
ON THIS PAGE
CDC STACKS serves as an archival repository of CDC-published products including
scientific findings,
journal articles, guidelines, recommendations, or other public health information authored or
co-authored by CDC or funded partners.
As a repository, CDC STACKS retains documents in their original published format to ensure public access to scientific information.
As a repository, CDC STACKS retains documents in their original published format to ensure public access to scientific information.
You May Also Like
COLLECTION
Emerging Infectious Diseases