Chinese-like Strain of Porcine Epidemic Diarrhea Virus, Thailand
Supporting Files
Public Domain
-
Jul 2009
File Language:
English
Details
-
Alternative Title:Emerg Infect Dis
-
Personal Author:
-
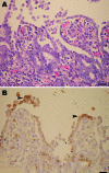
Description:Since late 2007, several outbreaks of porcine epidemic diarrhea virus (PEDV) infection have emerged in Thailand. Phylogenetic analysis places all Thai PEDV isolates during the outbreaks in the same clade as the Chinese strain JS-2004-2. This new genotype PEDV is prevailing and currently causing sporadic outbreaks in Thailand.
-
Subjects:
-
Source:Emerg Infect Dis. 15(7):1112-1115.
-
Document Type:
-
Place as Subject:
-
Location:
-
Volume:15
-
Issue:7
-
Collection(s):
-
Main Document Checksum:urn:sha256:f351aec8fc97d72f3620d3c7e434d427708c446015417c0d3a609bc5579bf330
-
Download URL:
-
File Type:
Supporting Files
File Language:
English
ON THIS PAGE
CDC STACKS serves as an archival repository of CDC-published products including
scientific findings,
journal articles, guidelines, recommendations, or other public health information authored or
co-authored by CDC or funded partners.
As a repository, CDC STACKS retains documents in their original published format to ensure public access to scientific information.
As a repository, CDC STACKS retains documents in their original published format to ensure public access to scientific information.
You May Also Like
COLLECTION
Emerging Infectious Diseases