Aquariums as Reservoirs for Multidrug-resistant Salmonella Paratyphi B
Supporting Files
Public Domain
-
Mar 2006
-
File Language:
English
Details
-
Alternative Title:Emerg Infect Dis
-
Personal Author:
-
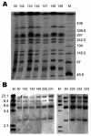
Description:Multidrug-resistant Salmonella enterica serovar Paratyphi B dT+ isolates from patients with gastroenteritis were identical with isolates from their home aquariums. Matched isolates had identical phage types, XbaI and IS200 profiles, and Salmonella genomic island 1 (SGI1). Ornamental fish tanks are reservoirs for SGI1-containing S. Paratyphi B dT+.
-
Subjects:
-
Source:Emerg Infect Dis. 12(3):507-510.
-
Document Type:
-
Genre:
-
Volume:12
-
Issue:3
-
Collection(s):
-
Main Document Checksum:urn:sha256:9d210418fe3d968327cf9cb5782e6199c107f6a4211e1dc227a55a69d0f53e89
-
Download URL:
-
File Type:
Supporting Files
File Language:
English
ON THIS PAGE
CDC STACKS serves as an archival repository of CDC-published products including
scientific findings,
journal articles, guidelines, recommendations, or other public health information authored or
co-authored by CDC or funded partners.
As a repository, CDC STACKS retains documents in their original published format to ensure public access to scientific information.
As a repository, CDC STACKS retains documents in their original published format to ensure public access to scientific information.
You May Also Like
COLLECTION
Emerging Infectious Diseases