U.S. flag An official website of the United States government.
Official websites use .gov

A .gov website belongs to an official government organization in the United States.

Secure .gov websites use HTTPS

A lock ( ) or https:// means you've safely connected to the .gov website. Share sensitive information only on official, secure websites.

i

DETECTION OF SARS-COV-2 IN A SQUIRREL MONKEY (SAIMIRI SCIUREUS): A ONE HEALTH INVESTIGATION AND RESPONSE

Supporting Files
File Language:
English


Details

  • Alternative Title:
    J Zoo Wildl Med
  • Personal Author:
  • Description:
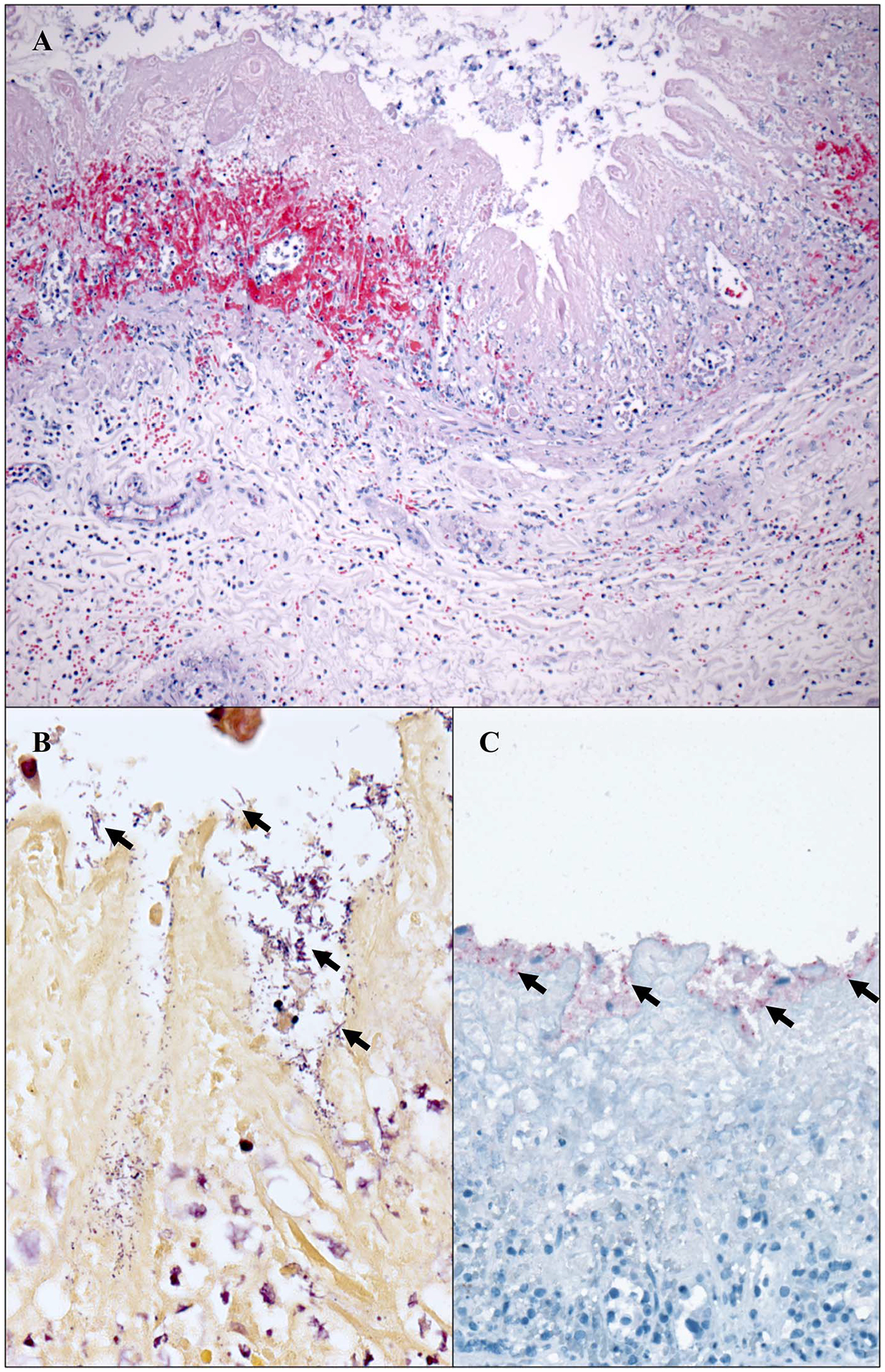
    Through collaborative efforts, One Health partners have responded to outbreaks of COVID-19 among animals, including those in human care at zoos. Zoos have been faced with numerous challenges, including the susceptibility of many mammalian species, and therefore the need to heighten biosecurity measures rapidly. Robust One Health collaborations already exist in Arizona to address endemic and emerging zoonoses, but these have rarely included zoos. The pandemic shed light on this, and Arizona subsequently expanded its SARS-CoV-2 surveillance efforts to include zoo animals. Testing and epidemiologic support was provided to expedite the detection of and response to zoonotic SARS-CoV-2 infection in zoo animals, as well as to understand possible transmission events. Resulting from this program, SARS-CoV-2 was detected from a rectal swab collected from an 8-yr-old squirrel monkey (|) from a zoo in Southern Arizona. The animal had rapidly become ill with nonrespiratory symptoms and died in July 2022. Genomic sequencing from the swab revealed mutations consistent with the Omicron (BA.2) lineage. An epidemiologic investigation identified an animal caretaker in close proximity to the affected squirrel monkey who tested positive for COVID-19 the same day the squirrel monkey died. Critical One Health partners provided support to the zoo through engagement of local, state, and federal agencies. Necropsy and pathologic evaluation showed significant necrotizing colitis; the overall clinical and histopathological findings did not implicate SARS-CoV-2 infection alone as a causal or contributing factor in the squirrel monkey's illness and death. This report documents the first identification of SARS-CoV-2 in a squirrel monkey and highlights a successful and timely One Health investigation conducted through multisectoral collaboration.
  • Subjects:
  • Source:
    J Zoo Wildl Med. 55(2):471-478
  • Pubmed ID:
    38875205
  • Pubmed Central ID:
    PMC11247420
  • Document Type:
  • Funding:
  • Volume:
    55
  • Issue:
    2
  • Collection(s):
  • Main Document Checksum:
    urn:sha-512:75634207c00d086ab073704c21a2d3c6373d5ba76f18dbec04238af52833136c2de4d7e274dc07d7d7ce7b082c28e3ec7bacd833da7974677e11e30644b55e02
  • Download URL:
  • File Type:
    Filetype[PDF - 887.79 KB ]
File Language:
English
ON THIS PAGE

CDC STACKS serves as an archival repository of CDC-published products including scientific findings, journal articles, guidelines, recommendations, or other public health information authored or co-authored by CDC or funded partners.

As a repository, CDC STACKS retains documents in their original published format to ensure public access to scientific information.