Sialic Acid Receptor Specificity in Mammary Gland of Dairy Cattle Infected with Highly Pathogenic Avian Influenza A(H5N1) Virus
Supporting Files
Public Domain
-
7 2024
-
File Language:
English
Details
-
Alternative Title:Emerg Infect Dis
-
Personal Author:
-
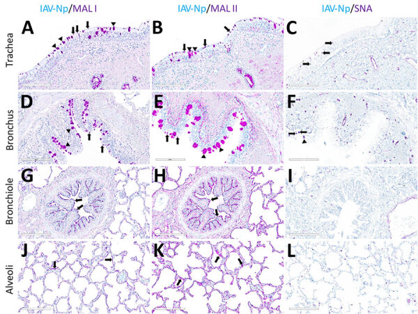
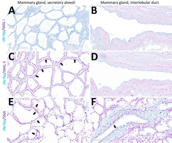
Description:In March 2024, the US Department of Agriculture's Animal and Plant Health Inspection Service reported detection of highly pathogenic avian influenza (HPAI) A(H5N1) virus in dairy cattle in the United States for the first time. One factor that determines susceptibility to HPAI H5N1 infection is the presence of specific virus receptors on host cells; however, little is known about the distribution of the sialic acid (SA) receptors in dairy cattle, particularly in mammary glands. We compared the distribution of SA receptors in the respiratory tract and mammary gland of dairy cattle naturally infected with HPAI H5N1. The respiratory and mammary glands of HPAI H5N1-infected dairy cattle are rich in SA, particularly avian influenza virus-specific SA α2,3-gal. Mammary gland tissues co-stained with sialic acids and influenza A virus nucleoprotein showed predominant co-localization with the virus and SA α2,3-gal. HPAI H5N1 exhibited epitheliotropism within the mammary gland, and we observed rare immunolabeling within macrophages.
-
Subjects:
-
Keywords:
-
Source:Emerg Infect Dis. 2024; 30(7):1361-1373
-
Pubmed ID:38861554
-
Pubmed Central ID:PMC11210646
-
Document Type:
-
Volume:30
-
Issue:7
-
Collection(s):
-
Main Document Checksum:urn:sha-512:587c2518a2eb577b95a2a0fd3b3eaeee062f830cb09dae98aa038d9fe8d4a159ac2c75880e26c7e1492fe166009cb5789f5e83ebad6690d0486d00e467379daf
-
Download URL:
-
File Type:
Supporting Files
File Language:
English
ON THIS PAGE
CDC STACKS serves as an archival repository of CDC-published products including
scientific findings,
journal articles, guidelines, recommendations, or other public health information authored or
co-authored by CDC or funded partners.
As a repository, CDC STACKS retains documents in their original published format to ensure public access to scientific information.
As a repository, CDC STACKS retains documents in their original published format to ensure public access to scientific information.
You May Also Like
COLLECTION
Emerging Infectious Diseases