Helicobacter fennelliae Localization to Diffuse Areas of Human Intestine, Japan
Supporting Files
Public Domain
-
1 2024
-
File Language:
English
Details
-
Alternative Title:Emerg Infect Dis
-
Personal Author:
-
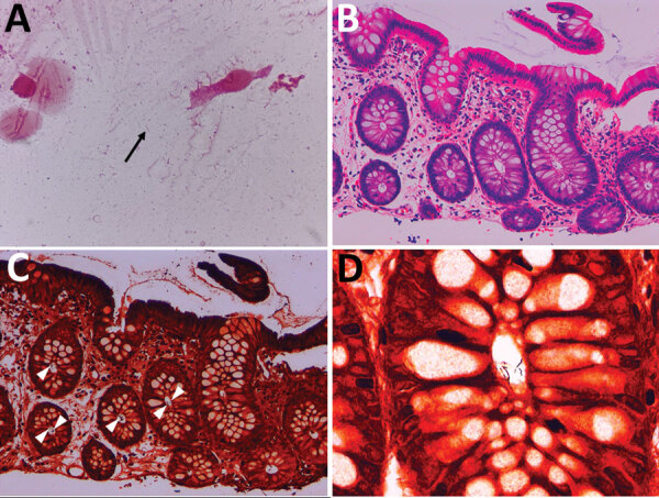
Description:The site of enterohepatic Helicobacter colonization/infection in humans is still unknown. We report microbiologically and histopathologically confirmed H. fennelliae localization in the large intestine in an immunocompromised patient in Japan. This case contributes to better understanding of the life cycle of enterohepatic Helicobacter species.
-
Subjects:
-
Keywords:
-
Source:Emerg Infect Dis. 2024; 30(1):129-132
-
Pubmed ID:38147044
-
Pubmed Central ID:PMC10756365
-
Document Type:
-
Place as Subject:
-
Volume:30
-
Issue:1
-
Collection(s):
-
Main Document Checksum:urn:sha256:b04ec82f9d619345a71c327d78ebf9276bd232eceff8fd3f05ee9446bfe4e134
-
Download URL:
-
File Type:
Supporting Files
File Language:
English
ON THIS PAGE
CDC STACKS serves as an archival repository of CDC-published products including
scientific findings,
journal articles, guidelines, recommendations, or other public health information authored or
co-authored by CDC or funded partners.
As a repository, CDC STACKS retains documents in their original published format to ensure public access to scientific information.
As a repository, CDC STACKS retains documents in their original published format to ensure public access to scientific information.
You May Also Like
COLLECTION
Emerging Infectious Diseases