No Substantial Histopathologic Changes in Mops condylurus Bats Naturally Infected with Bombali Virus, Kenya
Supporting Files
Public Domain
-
5 2023
-
File Language:
English
Details
-
Alternative Title:Emerg Infect Dis
-
Personal Author:
-
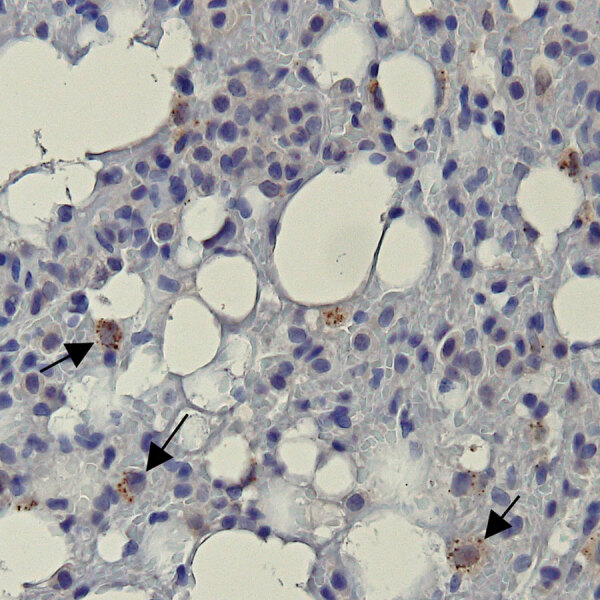
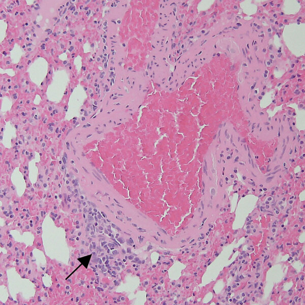
Description:We found similar mild perivascular inflammation in lungs of Bombali virus-positive and -negative Mops condylurus bats in Kenya, indicating the virus is well-tolerated. Our findings indicate M. condylurus bats may be a reservoir host for Bombali virus. Increased surveillance of these bats will be important to reduce potential virus spread.
-
Subjects:
-
Source:Emerg Infect Dis. 2023; 29(5):1029-1032
-
Pubmed ID:37081584
-
Pubmed Central ID:PMC10124661
-
Document Type:
-
Place as Subject:
-
Volume:29
-
Issue:5
-
Collection(s):
-
Main Document Checksum:urn:sha256:40d51f11b8b07ec6e37c80fd9e7567c8770042099bb0209d47f03f0e5aae8af7
-
Download URL:
-
File Type:
Supporting Files
File Language:
English
ON THIS PAGE
CDC STACKS serves as an archival repository of CDC-published products including
scientific findings,
journal articles, guidelines, recommendations, or other public health information authored or
co-authored by CDC or funded partners.
As a repository, CDC STACKS retains documents in their original published format to ensure public access to scientific information.
As a repository, CDC STACKS retains documents in their original published format to ensure public access to scientific information.
You May Also Like
COLLECTION
Emerging Infectious Diseases