Tonate Virus and Fetal Abnormalities, French Guiana, 2019
Supporting Files
Public Domain
-
2 2022
-
File Language:
English
Details
-
Alternative Title:Emerg Infect Dis
-
Personal Author:
-
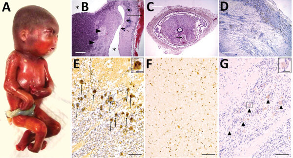
Description:We report a case of vertical transmission of Tonate virus in a pregnant woman from French Guiana. The fetus showed severe necrotic and hemorrhagic lesions of the brain and spinal cord. Clinicians should be made aware of possible adverse fetal outcomes in pregnant women infected with Tonate virus.
-
Subjects:
-
Source:Emerg Infect Dis. 2022; 28(2):445-448
-
Pubmed ID:35076005
-
Pubmed Central ID:PMC8798706
-
Document Type:
-
Volume:28
-
Issue:2
-
Collection(s):
-
Main Document Checksum:urn:sha256:e1a4c29d8508ae1fdeb3a0dcdb001b9e4454e9ad948b1b8cdf38f9a0fbee12c5
-
Download URL:
-
File Type:
Supporting Files
File Language:
English
ON THIS PAGE
CDC STACKS serves as an archival repository of CDC-published products including
scientific findings,
journal articles, guidelines, recommendations, or other public health information authored or
co-authored by CDC or funded partners.
As a repository, CDC STACKS retains documents in their original published format to ensure public access to scientific information.
As a repository, CDC STACKS retains documents in their original published format to ensure public access to scientific information.
You May Also Like
COLLECTION
Emerging Infectious Diseases