Systemic Toxicity Induced by a Topical Application of Heptafluorobutyric Acid (PFBA) in a Murine Model
Supporting Files
-
2021/10/01
-
File Language:
English
Details
-
Journal Article:Food and Chemical Toxicology
-
Personal Author:
-
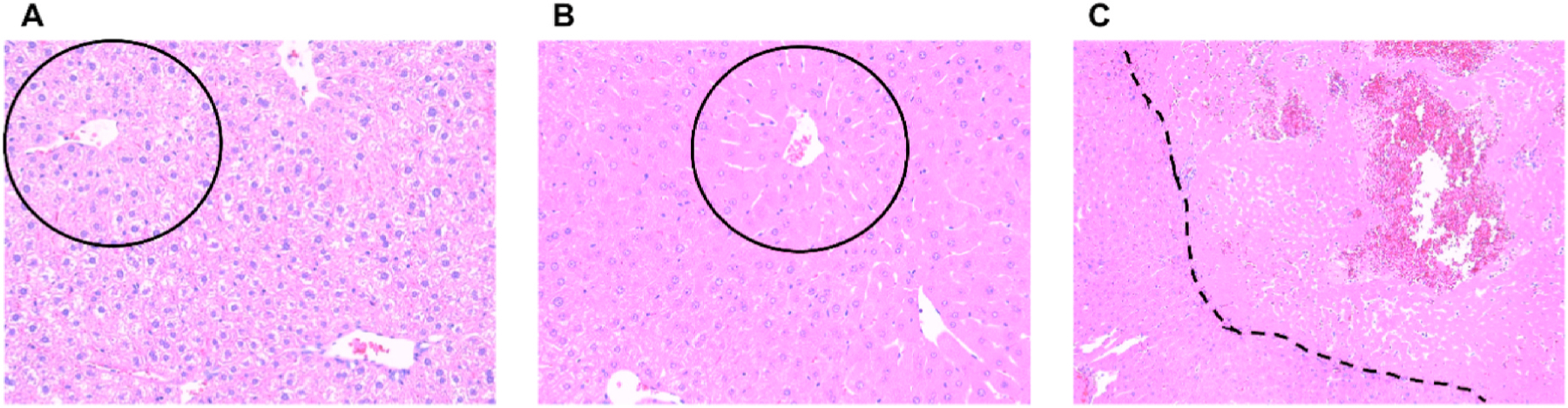
Description:Heptafluorobutyric acid (PFBA) is a synthetic chemical belonging to the per- and polyfluoroalkyl substances (PFAS) group that includes over 5000 chemicals incorporated into numerous products. PFBA is a short-chain PFAS (C4) labeled as a safer alternative to legacy PFAS which have been linked to numerous health effects. Despite the high potential for dermal exposure, occupationally and environmentally, dermal exposure studies are lacking. Using a murine model, this study analyzed serum chemistries, histology, immune phenotyping, and gene expression to evaluate the systemic toxicity of sub-chronic dermal PFBA 15-day (15% v/v or 375 mg/kg/dose) or 28-day (3.75-7.5% v/v or 93.8-187.5 mg/kg/dose) exposures. PFBA exposure produced significant increases in liver and kidney weights and altered serum chemistries (all exposure levels). Immune-cell phenotyping identified significant increases in draining lymph node B-cells (15%) and CD11b + cells (3.75-15%) and skin T-cells (3.75-15%) and neutrophils (7.5-15%). Histopathological and gene expression changes were observed in both the liver and skin after dermal PFBA exposure. The findings indicate PFBA induces liver toxicity and alterations of PPAR target genes, suggesting a role of a PPAR pathway. These results demonstrate that sustained dermal exposure to PFBA induces systemic effects and raise concerns of short-chain PFAS being promoted as safer alternatives. [Description provided by NIOSH]
-
Subjects:
-
Keywords:
-
Source:Food Chem Toxicol 2021 Oct; 156:112528
-
ISSN:0278-6915
-
Pubmed ID:34474067
-
Pubmed Central ID:PMC8693634
-
Document Type:
-
Funding:
-
Genre:
-
Place as Subject:
-
CIO:
-
Division:
-
Topic:
-
Location:
-
Pages in Document:25 pdf pages
-
Volume:156
-
NIOSHTIC Number:nn:20063484
-
Contact Point Address:Lisa M. Weatherly, National Institute for Occupational Safety and Health (NIOSH), 1000 Fredrick Lane, Morgantown, WV 26505
-
Email:nux6@cdc.gov
-
CAS Registry Number:
-
Federal Fiscal Year:2022
-
NORA Priority Area:
-
Peer Reviewed:True
-
Collection(s):
-
Main Document Checksum:urn:sha-512:169a7c604e1d556009aa120c0fb0763439a6f86430b9c8a3966c20088b0fd34aa9f75562938948368075213dac88a02c432bef4128ddb120e77584a6a2167c08
-
Download URL:
-
File Type:
Supporting Files
Related Documents
File Language:
English
ON THIS PAGE
CDC STACKS serves as an archival repository of CDC-published products including
scientific findings,
journal articles, guidelines, recommendations, or other public health information authored or
co-authored by CDC or funded partners.
As a repository, CDC STACKS retains documents in their original published format to ensure public access to scientific information.
As a repository, CDC STACKS retains documents in their original published format to ensure public access to scientific information.
You May Also Like