COVID-19 and Fatal Sepsis Caused by Hypervirulent Klebsiella pneumoniae, Japan, 2020
Supporting Files
Public Domain
-
December 15 2020
-
File Language:
English
Details
-
Alternative Title:Emerg Infect Dis
-
Personal Author:
-
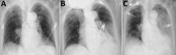
Description:A patient in Japan with coronavirus disease and hypervirulent Klebsiella pneumoniae K2 sequence type 86 infection died of respiratory failure. Bacterial and fungal co-infections caused by region-endemic pathogens, including hypervirulent K. pneumoniae in eastern Asia, should be included in the differential diagnosis of coronavirus disease patients with acutely deteriorating condition.
-
Subjects:
-
Source:Emerg Infect Dis. 27(2):556-559
-
Pubmed ID:33320080
-
Pubmed Central ID:PMC7853555
-
Document Type:
-
Place as Subject:
-
Location:
-
Volume:27
-
Issue:2
-
Collection(s):
-
Main Document Checksum:urn:sha256:0ac0c8b773638776136aedcf0852d966c8d82418aee45b69e10b84cf24a3ac51
-
Download URL:
-
File Type:
Supporting Files
File Language:
English
ON THIS PAGE
CDC STACKS serves as an archival repository of CDC-published products including
scientific findings,
journal articles, guidelines, recommendations, or other public health information authored or
co-authored by CDC or funded partners.
As a repository, CDC STACKS retains documents in their original published format to ensure public access to scientific information.
As a repository, CDC STACKS retains documents in their original published format to ensure public access to scientific information.
You May Also Like
COLLECTION
Emerging Infectious Diseases