Fatal Encephalitis Caused by Cristoli Virus, an Emerging Orthobunyavirus, France
Supporting Files
Public Domain
-
Jun 2020
-
File Language:
English
Details
-
Alternative Title:Emerg Infect Dis
-
Personal Author:
-
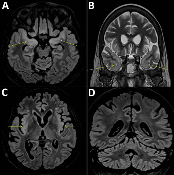
Description:We report the discovery of a new orthobunyavirus, Cristoli virus, by means of shotgun metagenomics. The virus was identified in an immunodepressed patient with fatal encephalitis. Full-length genome sequencing revealed high-level expression of a virulence factor, possibly explaining the severity of the infection. The patient's recent history suggests circulation in France.
-
Subjects:
-
Source:Emerg Infect Dis. 26(6):1287-1290
-
Pubmed ID:32441621
-
Pubmed Central ID:PMC7258463
-
Document Type:
-
Volume:26
-
Issue:6
-
Collection(s):
-
Main Document Checksum:urn:sha256:09ade209bf736b60bb82134357ac0a52d265f5ef2c5491d615658278cabe9ea7
-
Download URL:
-
File Type:
Supporting Files
File Language:
English
ON THIS PAGE
CDC STACKS serves as an archival repository of CDC-published products including
scientific findings,
journal articles, guidelines, recommendations, or other public health information authored or
co-authored by CDC or funded partners.
As a repository, CDC STACKS retains documents in their original published format to ensure public access to scientific information.
As a repository, CDC STACKS retains documents in their original published format to ensure public access to scientific information.
You May Also Like
COLLECTION
Emerging Infectious Diseases