U.S. flag An official website of the United States government.
Official websites use .gov

A .gov website belongs to an official government organization in the United States.

Secure .gov websites use HTTPS

A lock ( ) or https:// means you've safely connected to the .gov website. Share sensitive information only on official, secure websites.

i

Novel mass spectrometry based detection and identification of variants of rabies virus nucleoprotein in infected brain tissues

Supporting Files Public Domain
File Language:
English


Details

  • Alternative Title:
    PLoS Negl Trop Dis
  • Personal Author:
  • Description:
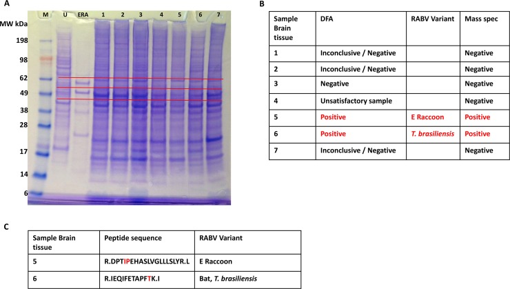
    Human rabies is an encephalitic disease transmitted by animals infected with lyssaviruses. The most common lyssavirus that causes human infection is rabies virus (RABV), the prototypic member of the genus. The incubation period of RABV in humans varies from few weeks to several months in some instances. During this prodromal period, neither antibodies nor virus is detected. Antibodies, antigen and nucleic acids are detectable only after the onset of encephalitic symptoms, at which point the outcome of the disease is nearly 100% fatal. Hence, the primary intervention for human RABV exposure and subsequent post-exposure prophylaxis relies on testing animals suspected of having rabies. The most widely used diagnostic tests in animals focus on antigen detection, RABV-encoded nucleoprotein (N protein) in brain tissues. N protein accumulates in the cytoplasm of infected cells as large and granular inclusions, which are visualized in infected brain tissues by immuno-microscopy using anti-N protein antibodies. In this study, we explored a mass spectrometry (MS) based method for N protein detection without the need for any specific antibody reagents or microscopy. The MS-based method described here is unbiased, label-free, requires no amplification and determines any previously sequenced N protein available in the database. The results demonstrate the ability of MS/MS based method for N protein detection and amino acid sequence determination in animal diagnostic samples to obtain RABV variant information. This study demonstrates a potential for future developments of rabies diagnostic tests based on MS platforms.
  • Subjects:
  • Source:
    PLoS Negl Trop Dis. 12(12)
  • Pubmed ID:
    30550539
  • Pubmed Central ID:
    PMC6310296
  • Document Type:
  • Volume:
    12
  • Issue:
    12
  • Collection(s):
  • Main Document Checksum:
    urn:sha256:711a5d24979e082b2ff8cc248f6353cca6b4a3d80f67a3992431f10ed4e67ea1
  • Download URL:
  • File Type:
    Filetype[PDF - 2.98 MB ]
File Language:
English
ON THIS PAGE

CDC STACKS serves as an archival repository of CDC-published products including scientific findings, journal articles, guidelines, recommendations, or other public health information authored or co-authored by CDC or funded partners.

As a repository, CDC STACKS retains documents in their original published format to ensure public access to scientific information.