Anopheles sundaicus Mosquitoes as Vector for Plasmodium knowlesi, Andaman and Nicobar Islands, India
Supporting Files
Public Domain
-
Apr 2019
File Language:
English
Details
-
Alternative Title:Emerg Infect Dis
-
Personal Author:
-
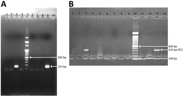
Description:Using PCR and sequencing, we found Plasmodium knowlesi in the malaria vector Anopheles sundaicus mosquito collected from Katchal Island in the Andaman and Nicobar Islands, India. We cannot rule out natural transmission of this parasite to humans through this mosquito species. An in-depth investigation is needed to prevent disease outbreaks.
-
Subjects:
-
Source:Emerg Infect Dis. 25(4):817-820
-
Pubmed ID:30882328
-
Pubmed Central ID:PMC6433020
-
Document Type:
-
Place as Subject:
-
Volume:25
-
Issue:4
-
Collection(s):
-
Main Document Checksum:urn:sha256:850b120c7f1c4a4af933f9487f848477abe5ef77e172b05ac3634504a4acd7b0
-
Download URL:
-
File Type:
Supporting Files
File Language:
English
ON THIS PAGE
CDC STACKS serves as an archival repository of CDC-published products including
scientific findings,
journal articles, guidelines, recommendations, or other public health information authored or
co-authored by CDC or funded partners.
As a repository, CDC STACKS retains documents in their original published format to ensure public access to scientific information.
As a repository, CDC STACKS retains documents in their original published format to ensure public access to scientific information.
You May Also Like
COLLECTION
Emerging Infectious Diseases