Probable Locally Acquired Babesia divergens–Like Infection in Woman, Michigan, USA
Supporting Files
Public Domain
-
August 2018
-
File Language:
English
Details
-
Alternative Title:Emerg Infect Dis
-
Personal Author:
-
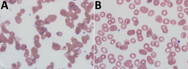
Description:We report an asplenic patient who was infected with Babesia divergens-like/MO-1. The clinical course was complicated by multiorgan failure that required intubation and dialysis. The patient recovered after an exchange transfusion and antimicrobial drug therapy. Physicians should be alert for additional cases, particularly in asplenic persons.
-
Subjects:
-
Source:Emerg Infect Dis. 24(8):1558-1560
-
Pubmed ID:30016254
-
Pubmed Central ID:PMC6056127
-
Document Type:
-
Place as Subject:
-
Location:
-
Volume:24
-
Issue:8
-
Collection(s):
-
Main Document Checksum:urn:sha256:d6c5671858307b01ccd5e7c75a535db6955cfacaaad78e3bc3671212829419b6
-
Download URL:
-
File Type:
Supporting Files
File Language:
English
ON THIS PAGE
CDC STACKS serves as an archival repository of CDC-published products including
scientific findings,
journal articles, guidelines, recommendations, or other public health information authored or
co-authored by CDC or funded partners.
As a repository, CDC STACKS retains documents in their original published format to ensure public access to scientific information.
As a repository, CDC STACKS retains documents in their original published format to ensure public access to scientific information.
You May Also Like
COLLECTION
Emerging Infectious Diseases