HIV-1 drug resistance genotyping from dried blood spots stored for 1 year at 4°C
Supporting Files
Public Domain
-
Mar 15 2008
-
Details
-
Alternative Title:J Antimicrob Chemother
-
Personal Author:
-
Description:Background
Dried blood spots (DBSs) are an attractive alternative to plasma for HIV-1 drug resistance testing in resource-limited settings. We recently showed that HIV-1 can be efficiently genotyped from DBSs stored at −20°C for prolonged periods (0.5–4 years). Here, we evaluated the efficiency of genotyping from DBSs stored at 4°C for 1 year.
Methods
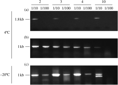
A total of 40 DBSs were prepared from residual diagnostic specimens collected from HIV subtype B-infected persons and were stored with desiccant at 4°C. Total nucleic acids were extracted after 1 year using a modification of the Nuclisens assay. Resistance testing was performed using the ViroSeq HIV-1 assay and an in-house nested RT–PCR method validated for HIV-1 subtype B that amplifies a smaller (1 kb) pol fragment.
Results
Using the ViroSeq assay, only 23 of the 40 (57.5%) DBS specimens were successfully genotyped; 22 of these specimens had plasma viraemia >10 000 RNA copies/mL. When the specimens were tested using the in-house assay, 38 of the 40 DBSs (95%) were successfully genotyped. Overall, resistance genotypes generated from the DBSs and plasma were highly concordant.
Conclusions
We show that drug resistance genotyping from DBSs stored at 4°C with desiccant is highly efficient but requires the amplification of small pol fragments and the use of an in-house nested PCR protocol with quality-controlled reagents. These findings suggest that 4°C may represent a suitable temperature for long-term storage of DBSs.
-
Subjects:
-
Source:J Antimicrob Chemother. 2007; 61(6):1217-1220.
-
Document Type:
-
Volume:61
-
Issue:6
-
Collection(s):
-
Main Document Checksum:urn:sha256:c9ac82190d759c686dd4512b45bd71dbf522f7a2a5b1af8c0cd896c671de6bc9
-
Download URL:
-
File Type:
Supporting Files
ON THIS PAGE
CDC STACKS serves as an archival repository of CDC-published products including
scientific findings,
journal articles, guidelines, recommendations, or other public health information authored or
co-authored by CDC or funded partners.
As a repository, CDC STACKS retains documents in their original published format to ensure public access to scientific information.
As a repository, CDC STACKS retains documents in their original published format to ensure public access to scientific information.
You May Also Like
COLLECTION
CDC Public Access