Hendra Virus Infection in Dog, Australia, 2013
Supporting Files
Public Domain
-
Dec 2015
-
File Language:
English
Details
-
Alternative Title:Emerg Infect Dis
-
Personal Author:
-
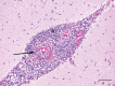
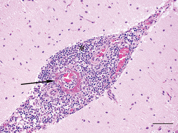
Description:Hendra virus occasionally causes severe disease in horses and humans. In Australia in 2013, infection was detected in a dog that had been in contact with an infected horse. Abnormalities and viral RNA were found in the dog's kidney, brain, lymph nodes, spleen, and liver. Dogs should be kept away from infected horses.
-
Subjects:
-
Source:Emerg Infect Dis. 21(12):2182-2185
-
Pubmed ID:26583697
-
Pubmed Central ID:PMC4672422
-
Document Type:
-
Place as Subject:
-
Volume:21
-
Issue:12
-
Collection(s):
-
Main Document Checksum:urn:sha256:b7177e847e86d2f89de25852e9fae82ade5552caef7a3467d4bf879895399c6d
-
Download URL:
-
File Type:
Supporting Files
File Language:
English
ON THIS PAGE
CDC STACKS serves as an archival repository of CDC-published products including
scientific findings,
journal articles, guidelines, recommendations, or other public health information authored or
co-authored by CDC or funded partners.
As a repository, CDC STACKS retains documents in their original published format to ensure public access to scientific information.
As a repository, CDC STACKS retains documents in their original published format to ensure public access to scientific information.
You May Also Like
COLLECTION
Emerging Infectious Diseases