A genome-wide association study of venous thromboembolism identifies risk variants in chromosomes 1q24.2 and 9q
Supporting Files
-
8 2012
-
File Language:
English
Details
-
Alternative Title:J Thromb Haemost
-
Personal Author:
-
Description:Objectives
To identify venous thromboembolism (VTE) disease-susceptibility genes.
Patients/Methods
We performed in silico genome wide association (GWAS) analyses using genotype data imputed to ~2.5 million single nucleotide polymorphisms (SNPs) from adults with objectively-diagnosed VTE (n=1503), and controls frequency-matched on age and sex (n=1459; discovery population). SNPs exceeding genome-wide significance were replicated in a separate population (VTE cases, n=1407; controls, n=1418). Genes associated with VTE were resequenced.
Results
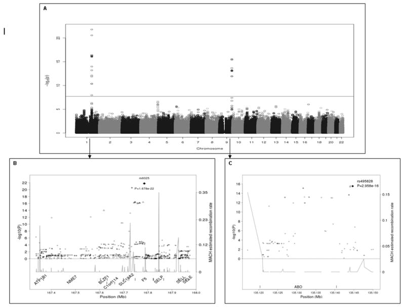
Seven SNPs exceeded genome-wide significance (P < 5 × 10-8); four on chromosome 1q24.2 (F5 rs6025 [Factor V Leiden], BLZF1 rs7538157, NME7 rs16861990 and SLC19A2 rs2038024) and three on chromosome 9q34.2 (ABO rs2519093 [ABO intron 1], rs495828, rs8176719 [ABO blood type O allele]). The replication study confirmed a significant association of F5, NME7, and ABO with VTE. However, F5 was the main signal on 1q24.2 as only ABO SNPs remained significantly associated with VTE after adjusting for F5 rs6025. This 1q24.2 region was shown to be inherited as a haplotype block. ABO resequencing identified 15 novel single nucleotide variations (SNV) in ABO intron 6 and the ABO 3’ UTR that were strongly associated with VTE (P < 10-4) and belonged to three distinct linkage disequilibrium (LD) blocks; none were in LD with ABO rs8176719 or rs2519093. Our sample size provided 80% power to detect odds ratios=2.0 and 1.51 for minor allele frequencies=0.05 and 0.5, respectively (α=1 × 10-8; 1% VTE prevalence).
Conclusions
Aside from F5 rs6025, ABO rs8176719 and rs2519093, and F2 rs1799963, additional common and high VTE-risk SNPs among whites are unlikely.
-
Subjects:
-
Keywords:
-
Source:J Thromb Haemost. 2012; 10(8):1521-1531
-
Pubmed ID:22672568
-
Pubmed Central ID:PMC3419811
-
Document Type:
-
Funding:U01 DD000235/DD/NCBDD CDC HHSUnited States/ ; R01 HL083141/HL/NHLBI NIH HHSUnited States/ ; AG0346760/AG/NIA NIH HHSUnited States/ ; R01 HL066216/HL/NHLBI NIH HHSUnited States/ ; DD000235/DD/NCBDD CDC HHSUnited States/ ; CA92153/CA/NCI NIH HHSUnited States/ ; R01 CA092153/CA/NCI NIH HHSUnited States/ ; HL66216/HL/NHLBI NIH HHSUnited States/ ; HL83141/HL/NHLBI NIH HHSUnited States/ ; HG04735/HG/NHGRI NIH HHSUnited States/ ; U01 HG004735/HG/NHGRI NIH HHSUnited States/
-
Volume:10
-
Issue:8
-
Collection(s):
-
Main Document Checksum:urn:sha256:2268338b8a2b89009dcdaf40c183e1aa0cc7cddfe7aae917014277893026cf43
-
Download URL:
-
File Type:
Supporting Files
File Language:
English
ON THIS PAGE
CDC STACKS serves as an archival repository of CDC-published products including
scientific findings,
journal articles, guidelines, recommendations, or other public health information authored or
co-authored by CDC or funded partners.
As a repository, CDC STACKS retains documents in their original published format to ensure public access to scientific information.
As a repository, CDC STACKS retains documents in their original published format to ensure public access to scientific information.
You May Also Like
COLLECTION
CDC Public Access