CXCR1/CXCR2 antagonist CXCL8(3-74)K11R/G31P blocks lung inflammation in swine barn dust-instilled mice
Supporting Files
-
4 2015
-
File Language:
English
Details
-
Alternative Title:Pulm Pharmacol Ther
-
Personal Author:
-
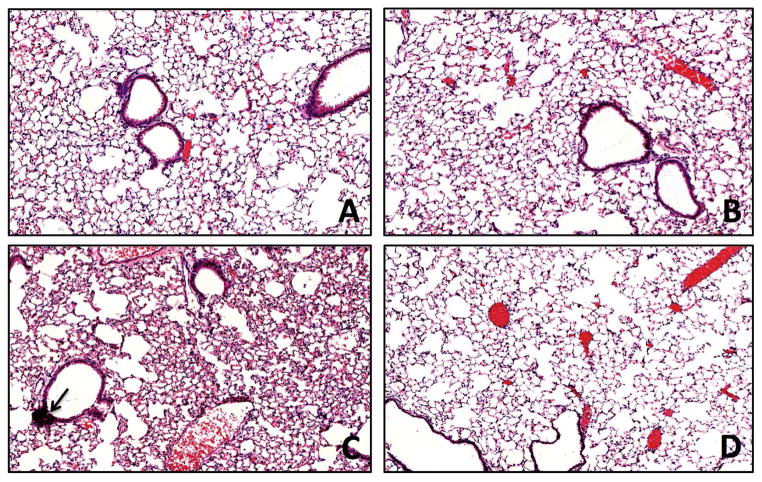
Description:Inhalation of agricultural occupational dusts from swine confinement facilities can result in lung inflammation. The innate immune response to organic barn dusts results in production of a number of pro-inflammatory factors in the lungs of barn workers such as cytokines, chemokines, and an influx of neutrophils. Many of these inflammatory factors are influenced by the chemokine CXCL8/IL-8 (KC or MIP-2 in mice). Previously, we have demonstrated that an endotoxin-independent component of swine barn dust extract (SBE) elevates lung chemokines in a protein kinase C (PKC)-dependent manner resulting in the significant formation of lung inflammatory cell infiltrates in a mouse model of SBE injury. In this study we test the ability of a CXCR1/CXCR2 antagonist, CXCL8(3-74)K11R/G31P (G31P) to block many of the features of lung-inflammation in response to challenge with SBE in an established mouse exposure system. Injection of G31P concurrent with SBE nasal instillation over a course of 3 weeks significantly reduced neutrophil accumulation in the lungs of barn dust exposed animals compared to those given SBE alone. There was a similar reduction in pro-inflammatory cytokines and chemokines IL-6, KC, and MIP-2 in SBE plus G31P-treated mice. In addition to excreted products, the receptors ICAM-1, CXCR1, and CXCR2, which all were elevated with SBE exposure, were also decreased with G31P treatment. SBE activation of PKCα and PKCε was reduced as well with G31P treatment. Thus, G31P was found to be highly effective at reducing several features of lung inflammation in mice exposed to barn dust extracts.
-
Keywords:
-
Source:Pulm Pharmacol Ther. 2015; 31:55-62
-
Pubmed ID:25681618
-
Pubmed Central ID:PMC4396599
-
Document Type:
-
Funding:R01 AA017993/AA/NIAAA NIH HHSUnited States/ ; U54OH010162/ACL/ACL HHSUnited States/ ; U54OH010162/OH/NIOSH CDC HHSUnited States/ ; U54 OH010162/OH/NIOSH CDC HHSUnited States/ ; R01AA017993/AA/NIAAA NIH HHSUnited States/ ; R01OH008539/OH/NIOSH CDC HHSUnited States/ ; R01 OH008539/OH/NIOSH CDC HHSUnited States/
-
Volume:31
-
Collection(s):
-
Main Document Checksum:urn:sha256:4df3f9b9a4e63137a958e3696a554e6ba817028c03799ada6d151035814825c3
-
Download URL:
-
File Type:
Supporting Files
File Language:
English
ON THIS PAGE
CDC STACKS serves as an archival repository of CDC-published products including
scientific findings,
journal articles, guidelines, recommendations, or other public health information authored or
co-authored by CDC or funded partners.
As a repository, CDC STACKS retains documents in their original published format to ensure public access to scientific information.
As a repository, CDC STACKS retains documents in their original published format to ensure public access to scientific information.
You May Also Like
COLLECTION
CDC Public Access