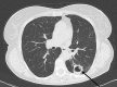
Mycobacterium yongonense in Pulmonary Disease, Italy
Supporting Files
Public Domain
-
Nov 2013
-
File Language:
English
Details
-
Alternative Title:Emerg Infect Dis
-
Personal Author:
-
Subjects:
-
Source:Emerg Infect Dis. 19(11):1902-1904.
-
Document Type:
-
Genre:
-
Place as Subject:
-
Volume:19
-
Issue:11
-
Collection(s):
-
Main Document Checksum:urn:sha256:a84764894e6c135bfe316188e39813966206e12a59fddaa39d2afe5efbcb705b
-
Download URL:
-
File Type:
Supporting Files
File Language:
English
ON THIS PAGE
CDC STACKS serves as an archival repository of CDC-published products including
scientific findings,
journal articles, guidelines, recommendations, or other public health information authored or
co-authored by CDC or funded partners.
As a repository, CDC STACKS retains documents in their original published format to ensure public access to scientific information.
As a repository, CDC STACKS retains documents in their original published format to ensure public access to scientific information.
You May Also Like
COLLECTION
Emerging Infectious Diseases