Short-term and repeated exposure to particulate matter sizes from Imperial Valley, California to induce inflammation and asthmatic-like symptoms in mice
Supporting Files
-
12 02 2023
-
File Language:
English
Details
-
Alternative Title:J Toxicol Environ Health A
-
Personal Author:
-
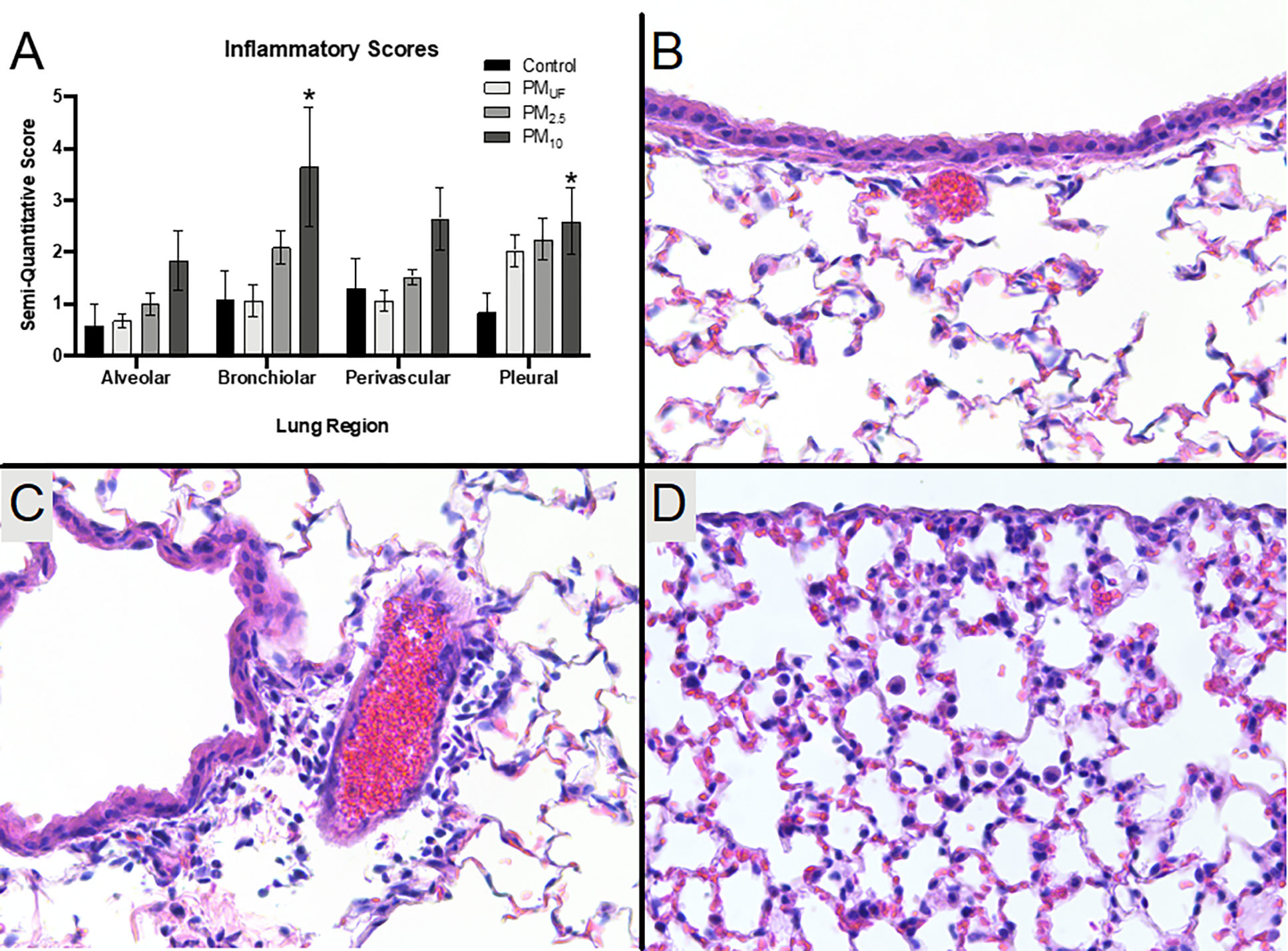
Description:Imperial Valley, California has become increasingly hot, dry, and polluted over the past decade. Particulate matter (PM) levels are amongst the highest in this State, associated with significantly higher asthma prevalence among children in the region compared to national and state averages. The present study was performed to test the hypothesis that Imperial Valley PM by size and chemical composition might possess allergenic properties following introduction into murine lungs without prior sensitization to a known allergen with size fraction as a determining factor. In acute exposure experiments, BALB/c male mice were administered a single 50-μl oropharyngeal aspiration of nanopure water (H|O; control) or a stock 1 μg/μl PM solution. In sub-acute exposure experiments, male and female mice were treated with a total of six 16.6-μl intranasal instillations of H|O or stock PM solution over the course of 14 days. In all experiments, pulmonary function tests were performed 24 hr after the final instillation followed by necropsies for the collection of biological samples. Inflammatory responses measured via cellularity in histopathological tissue sections as well as significant, marked influxes of eosinophils and lymphocytes were noted in the bronchoalveolar lavage fluid in mice administered PM compared to control. Allergic responses, including airway hyperresponsiveness and significantly increased expression of IL-1ß, were found in male mice exposed to either PM| or ultrafine (PM|). A combination of all three size fractions of PM from Imperial Valley initiated atopic and asthmatic-like symptoms in the lungs of mice in the absence of additional allergen or preexisting condition.
-
Subjects:
-
Source:J Toxicol Environ Health A. 86(23):909-927
-
Pubmed ID:37698070
-
Pubmed Central ID:PMC10550522
-
Document Type:
-
Funding:T42 OH008429/OH/NIOSH CDC HHSUnited States/ ; U01OH010969/ACL/ACL HHSUnited States/ ; P51 OD011107/OD/NIH HHSUnited States/ ; T32 HL007013/HL/NHLBI NIH HHSUnited States/ ; T32 ES015459/ES/NIEHS NIH HHSUnited States/ ; T32 ES007059/ES/NIEHS NIH HHSUnited States/ ; P30 ES023513/ES/NIEHS NIH HHSUnited States/ ; U54 OH007550/OH/NIOSH CDC HHSUnited States/ ; U54OH007550/ACL/ACL HHSUnited States/ ; U01 OH010969/OH/NIOSH CDC HHSUnited States/ ; R01 ES025229/ES/NIEHS NIH HHSUnited States/
-
Volume:86
-
Issue:23
-
Collection(s):
-
Main Document Checksum:urn:sha-512:17278480d133a6655483136331415fa5ba65c32dde1b63002e8ec7c974a7c5b84fdd4e00038a52651dc9a646ddab2d9592a1082ef1d442c033ec29f96f6ade17
-
Download URL:
-
File Type:
Supporting Files
File Language:
English
ON THIS PAGE
CDC STACKS serves as an archival repository of CDC-published products including
scientific findings,
journal articles, guidelines, recommendations, or other public health information authored or
co-authored by CDC or funded partners.
As a repository, CDC STACKS retains documents in their original published format to ensure public access to scientific information.
As a repository, CDC STACKS retains documents in their original published format to ensure public access to scientific information.
You May Also Like
COLLECTION
CDC Public Access