Rustrela Virus as Putative Cause of Nonsuppurative Meningoencephalitis in Lions
Supporting Files
Public Domain
-
5 2023
-
File Language:
English
Details
-
Alternative Title:Emerg Infect Dis
-
Personal Author:
-
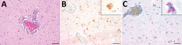
Description:Retrospective investigation of archived tissue samples from 3 lions displaying nonsuppurative meningoencephalitis and vasculitis led to the detection of rustrela virus (RusV). We confirmed RusV antigen and RNA in cortical neurons, axons, astrocytes and Purkinje cells by reverse transcription quantitative PCR, immunohistochemistry, and in situ hybridization.
-
Subjects:
-
Source:Emerg Infect Dis. 2023; 29(5):1042-1045
-
Pubmed ID:37081716
-
Pubmed Central ID:PMC10124629
-
Document Type:
-
Volume:29
-
Issue:5
-
Collection(s):
-
Main Document Checksum:urn:sha256:4bf51fbcd43d4a6fc1716ef0dc3da0d93d9089f548b272f33f99515d27559cf6
-
Download URL:
-
File Type:
Supporting Files
File Language:
English
ON THIS PAGE
CDC STACKS serves as an archival repository of CDC-published products including
scientific findings,
journal articles, guidelines, recommendations, or other public health information authored or
co-authored by CDC or funded partners.
As a repository, CDC STACKS retains documents in their original published format to ensure public access to scientific information.
As a repository, CDC STACKS retains documents in their original published format to ensure public access to scientific information.
You May Also Like
COLLECTION
Emerging Infectious Diseases