Fatal Case of Heartland Virus Disease Acquired in the Mid-Atlantic Region, United States
Supporting Files
Public Domain
-
5 2023
-
File Language:
English
Details
-
Alternative Title:Emerg Infect Dis
-
Personal Author:
-
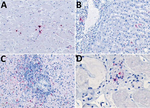
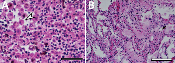
Description:Heartland virus (HRTV) disease is an emerging tickborne illness in the midwestern and southern United States. We describe a reported fatal case of HRTV infection in the Maryland and Virginia region, states not widely recognized to have human HRTV disease cases. The range of HRTV could be expanding in the United States.
-
Subjects:
-
Source:Emerg Infect Dis. 2023; 29(5):992-996
-
Document Type:
-
Volume:29
-
Issue:5
-
Collection(s):
-
Main Document Checksum:urn:sha-512:59b5cb574f2a072e05041ba7073293136ddcb074a263108cb26f3d35b8e3ab0a9d68ebfd33dd9e3af8bf39619068d646f3417c08a52ddaa24f07210f6d0e19e4
-
Download URL:
-
File Type:
Supporting Files
File Language:
English
ON THIS PAGE
CDC STACKS serves as an archival repository of CDC-published products including
scientific findings,
journal articles, guidelines, recommendations, or other public health information authored or
co-authored by CDC or funded partners.
As a repository, CDC STACKS retains documents in their original published format to ensure public access to scientific information.
As a repository, CDC STACKS retains documents in their original published format to ensure public access to scientific information.
You May Also Like
COLLECTION
Emerging Infectious Diseases