Circovirus Hepatitis Infection in Heart-Lung Transplant Patient, France
Supporting Files
Public Domain
-
2 2023
-
File Language:
English
Details
-
Alternative Title:Emerg Infect Dis
-
Personal Author:Pérot, Philippe ; Fourgeaud, Jacques ; Rouzaud, Claire ; Regnault, Béatrice ; Da Rocha, Nicolas ; Fontaine, Hélène ; Le Pavec, Jérôme ; Dolidon, Samuel ; Garzaro, Margaux ; Chrétien, Delphine ; Morcrette, Guillaume ; Molina, Thierry Jo ; Ferroni, Agnès ; Leruez-Ville, Marianne ; Lortholary, Olivier ; Jamet, Anne ; Eloit, Marc
-
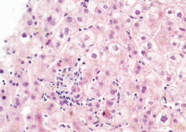
Description:In March 2022, a 61-year-old woman in France who had received a heart-lung transplant sought treatment with chronic hepatitis mainly characterized by increased liver enzymes. After ruling out common etiologies, we used metagenomic next-generation sequencing to analyze a liver biopsy sample and identified an unknown species of circovirus, tentatively named human circovirus 1 (HCirV-1). We found no other viral or bacterial sequences. HCirV-1 shared 70% amino acid identity with the closest known viral sequences. The viral genome was undetectable in blood samples from 2017-2019, then became detectable at low levels in September 2020 and peaked at very high titers (10| genome copies/mL) in January 2022. In March 2022, we found >10| genome copies/g or mL in the liver and blood, concomitant with hepatic cytolysis. We detected HCirV-1 transcripts in 2% of hepatocytes, demonstrating viral replication and supporting the role of HCirV-1 in liver damage.
-
Subjects:
-
Source:Emerg Infect Dis. 2023; 29(2):286-293
-
Pubmed ID:36596569
-
Pubmed Central ID:PMC9881760
-
Document Type:
-
Volume:29
-
Issue:2
-
Collection(s):
-
Main Document Checksum:urn:sha256:a20b5918a769db24b9b53d9388f9696b01eee9af52fd913f6693831725f14d22
-
Download URL:
-
File Type:
Supporting Files
File Language:
English
ON THIS PAGE
CDC STACKS serves as an archival repository of CDC-published products including
scientific findings,
journal articles, guidelines, recommendations, or other public health information authored or
co-authored by CDC or funded partners.
As a repository, CDC STACKS retains documents in their original published format to ensure public access to scientific information.
As a repository, CDC STACKS retains documents in their original published format to ensure public access to scientific information.
You May Also Like
COLLECTION
Emerging Infectious Diseases