Transfusion-Transmitted Cache Valley Virus Infection in a Kidney Transplant Recipient with Meningoencephalitis
Supporting Files
-
7 27 2022
-
File Language:
English
Details
-
Alternative Title:Clin Infect Dis
-
Personal Author:Al-Heeti, Omar ; Wu, En-Ling ; Ison, Michael G. ; Saluja, Rasleen K. ; Ramsey, Glenn ; Matkovic, Eduard ; Ha DO, Kevin ; Hall, Scott ; Banach, Bridget ; Wilson, Michael R. ; Miller, Steve ; Chiu, Charles Y. ; McCabe, Muniba ; Bari, Chowdhury ; Zimler, Rebecca A. ; Babiker, Hani ; Freeman, Debbie ; Popovitch, Jonathan ; Annambhotla, Pallavi ; Lehman, Jennifer A. ; Fitzpatrick, Kelly ; Velez, Jason O. ; Davis, Emily H. ; Hughes, Holly R. ; Panella, Amanda ; Brault, Aaron ; Erin Staples, J. ; Gould, Carolyn V. ; Tanna, Sajal
-
Description:Background:
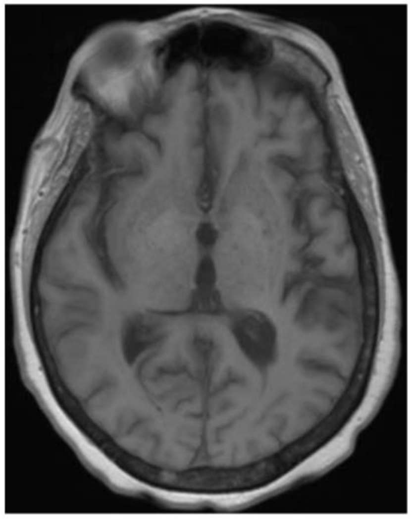
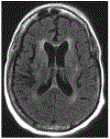
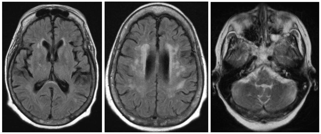
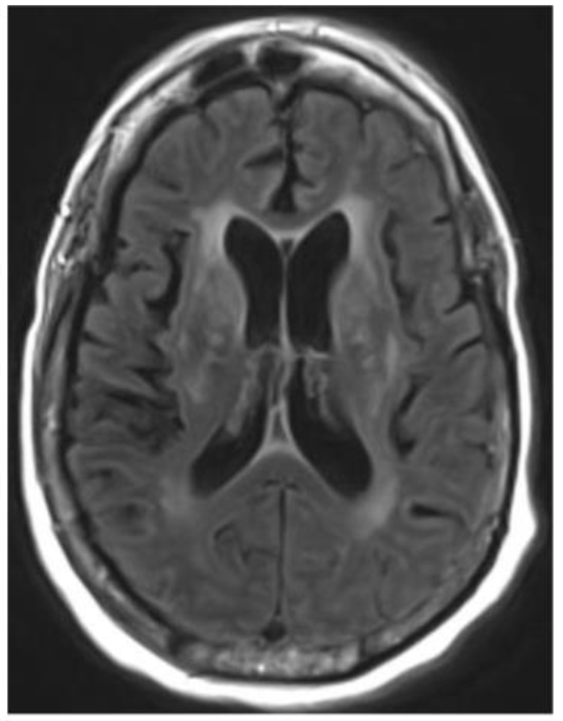
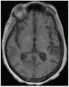
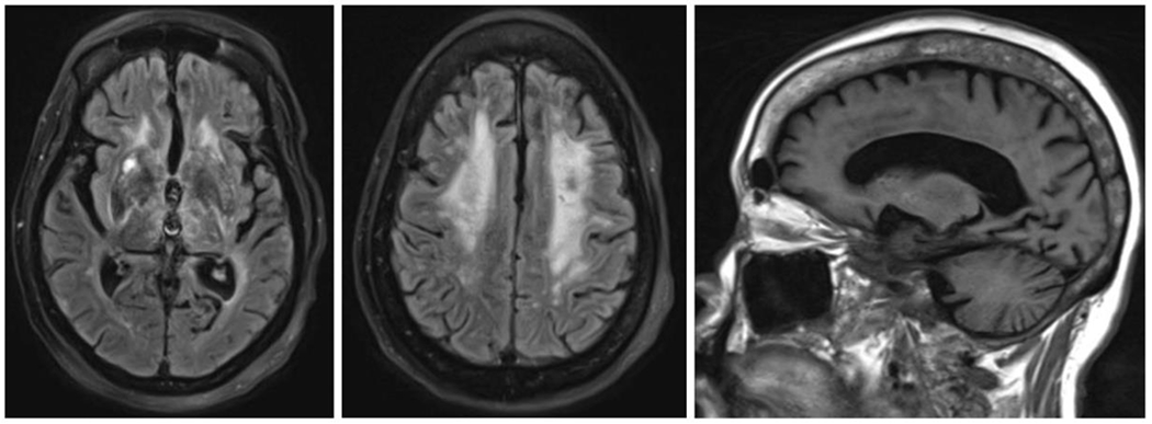
Cache Valley virus (CVV) is a mosquito-borne virus that is a rare cause of disease in humans. In the Fall of 2020, a patient developed encephalitis six weeks following kidney transplantation and receipt of multiple blood transfusions.
Methods:
After ruling out more common etiologies, metagenomic next-generation sequencing (mNGS) of cerebrospinal fluid (CSF) was performed. We reviewed the medical histories of the index kidney recipient, organ donor, and recipients of other organs from the same donor and conducted a blood traceback investigation to evaluate blood transfusion as a possible source of infection in the kidney recipient. We tested patient specimens by reverse transcription-polymerase chain reaction (RT-PCR), plaque reduction neutralization test (PRNT), cell culture, and whole genome sequencing.
Results:
CVV was detected in CSF from the index patient by mNGS, and this result was confirmed by RT-PCR, viral culture, and additional whole genome sequencing. The organ donor and other organ recipients had no evidence of infection with CVV by molecular or serologic testing. Neutralizing antibodies against CVV were detected in serum from a donor of red blood cells received by the index patient immediately prior to transplant. CVV neutralizing antibodies were also detected in serum from a patient who received the co-component plasma from the same blood donation.
Conclusion:
Our investigation demonstrates probable CVV transmission through blood transfusion. Clinicians should consider arboviral infections in unexplained meningoencephalitis after blood transfusion or organ transplantation. The use of mNGS testing might facilitate detection of rare, unexpected infections, particularly in immunocompromised patients.
-
Keywords:
-
Source:Clin Infect Dis. 76(3):e1320-e1327
-
Pubmed ID:35883256
-
Pubmed Central ID:PMC9880244
-
Document Type:
-
Funding:
-
Volume:76
-
Issue:3
-
Collection(s):
-
Main Document Checksum:urn:sha256:2e570075e39a51940c59a12027ed4acc37c65d0f77f5be42713d51f662950142
-
Download URL:
-
File Type:
Supporting Files
File Language:
English
ON THIS PAGE
CDC STACKS serves as an archival repository of CDC-published products including
scientific findings,
journal articles, guidelines, recommendations, or other public health information authored or
co-authored by CDC or funded partners.
As a repository, CDC STACKS retains documents in their original published format to ensure public access to scientific information.
As a repository, CDC STACKS retains documents in their original published format to ensure public access to scientific information.
You May Also Like
COLLECTION
CDC Public Access