Imported Haycocknema perplexum Infection, United States1
Supporting Files
Public Domain
-
11 2022
-
File Language:
English
Details
-
Alternative Title:Emerg Infect Dis
-
Personal Author:
-
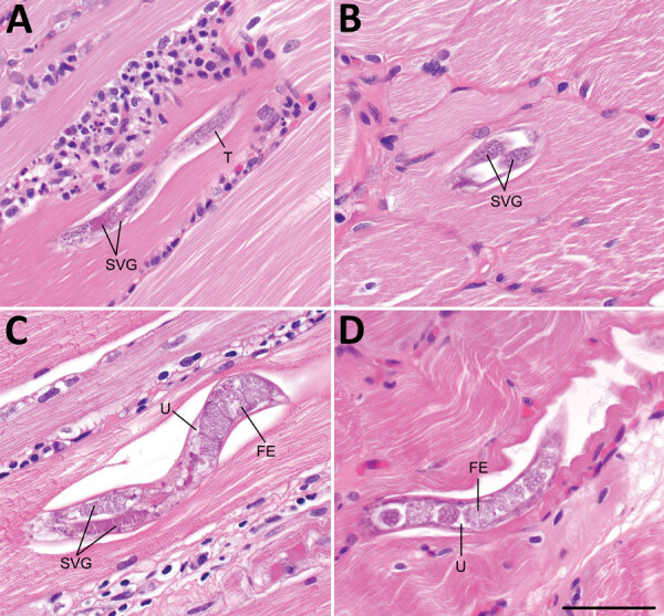
Description:We report an imported case of myositis caused by a rare parasite, Haycocknema perplexum, in Australia in a 37-year-old man who had progressive facial, axial, and limb weakness, dysphagia, dysphonia, increased levels of creatine kinase and hepatic aminotransferases, and peripheral eosinophilia for 8 years. He was given extended, high-dose albendazole.
-
Subjects:
-
Source:Emerg Infect Dis. 2022; 28(11):2281-2284
-
Pubmed ID:36286008
-
Pubmed Central ID:PMC9622246
-
Document Type:
-
Place as Subject:
-
Volume:28
-
Issue:11
-
Collection(s):
-
Main Document Checksum:urn:sha256:cfbdbfe994eff0b72088e021fa9efa5a2f34606ea7d9d7ba8ed173e0f1e26bbc
-
Download URL:
-
File Type:
Supporting Files
File Language:
English
ON THIS PAGE
CDC STACKS serves as an archival repository of CDC-published products including
scientific findings,
journal articles, guidelines, recommendations, or other public health information authored or
co-authored by CDC or funded partners.
As a repository, CDC STACKS retains documents in their original published format to ensure public access to scientific information.
As a repository, CDC STACKS retains documents in their original published format to ensure public access to scientific information.
You May Also Like
COLLECTION
Emerging Infectious Diseases