Angiostrongylus cantonensis in a Red Ruffed Lemur at a Zoo, Louisiana, USA
Supporting Files
Public Domain
-
5 2022
-
File Language:
English
Details
-
Alternative Title:Emerg Infect Dis
-
Personal Author:
-
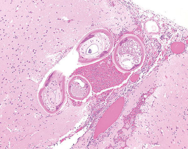
Description:A red ruffed lemur (Varecia rubra) from a zoo in Louisiana, USA, was euthanized for worsening paresis. Brain and spinal cord histology identified eosinophilic meningoencephalomyelitis with intralesional adult Angiostrongylus sp. nematodes. PCR and sequencing confirmed A. cantonensis infection, indicating this parasite constitutes an emerging zoonosis in the southeastern United States.
-
Subjects:
-
Source:Emerg Infect Dis. 2022; 28(5):1058-1060
-
Pubmed ID:35447053
-
Pubmed Central ID:PMC9045436
-
Document Type:
-
Place as Subject:
-
Volume:28
-
Issue:5
-
Collection(s):
-
Main Document Checksum:urn:sha256:29b305564a4d576b2a01b44b2ff2e550fe0b95b85852b950d9f3bfc37b832d07
-
Download URL:
-
File Type:
Supporting Files
File Language:
English
ON THIS PAGE
CDC STACKS serves as an archival repository of CDC-published products including
scientific findings,
journal articles, guidelines, recommendations, or other public health information authored or
co-authored by CDC or funded partners.
As a repository, CDC STACKS retains documents in their original published format to ensure public access to scientific information.
As a repository, CDC STACKS retains documents in their original published format to ensure public access to scientific information.
You May Also Like
COLLECTION
Emerging Infectious Diseases