Babesia crassa–Like Human Infection Indicating Need for Adapted PCR Diagnosis of Babesiosis, France
Supporting Files
Public Domain
-
2 2022
-
File Language:
English
Details
-
Alternative Title:Emerg Infect Dis
-
Personal Author:
-
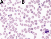
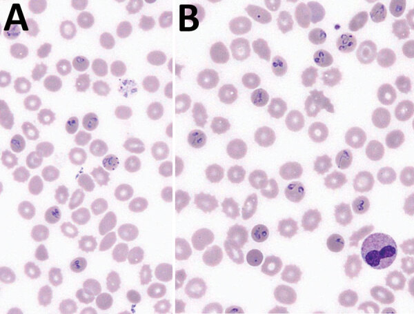
Description:Human babesiosis in Europe is caused by multiple zoonotic species. We describe a case in a splenectomized patient, in which a routine Babesia divergens PCR result was negative. A universal Babesia spp. PCR yielded a positive result and enabled classification of the parasite into the less-described Babesia crassa-like complex.
-
Subjects:
-
Source:Emerg Infect Dis. 2022; 28(2):449-452
-
Pubmed ID:35076002
-
Pubmed Central ID:PMC8798681
-
Document Type:
-
Volume:28
-
Issue:2
-
Collection(s):
-
Main Document Checksum:urn:sha256:b5719fd4f91b70103bbdab98dce366cc877898ee53c34d6a493682a2dbe0e246
-
Download URL:
-
File Type:
Supporting Files
File Language:
English
ON THIS PAGE
CDC STACKS serves as an archival repository of CDC-published products including
scientific findings,
journal articles, guidelines, recommendations, or other public health information authored or
co-authored by CDC or funded partners.
As a repository, CDC STACKS retains documents in their original published format to ensure public access to scientific information.
As a repository, CDC STACKS retains documents in their original published format to ensure public access to scientific information.
You May Also Like
COLLECTION
Emerging Infectious Diseases