Streptococcus gallolyticus and Bacterial Endocarditis in Swine, United States, 2015–2020
Supporting Files
Public Domain
-
1 2022
-
File Language:
English
Details
-
Alternative Title:Emerg Infect Dis
-
Personal Author:
-
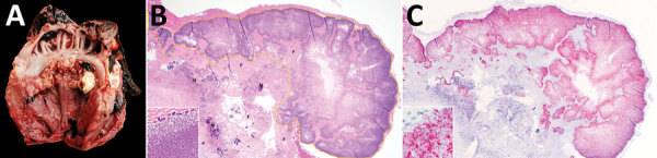
Description:To evaluate trends in bacterial causes of valvular endocarditis in swine, we retrospectively analyzed 321 cases diagnosed at Iowa State University Veterinary Diagnostic Laboratory (Ames, IA, USA) during May 2015--April 2020. Streptococcus gallolyticus was the causative agent for 7.59% of cases. This emerging infection in swine could aid study of endocarditis in humans.
-
Subjects:
-
Source:Emerg Infect Dis. 2022; 28(1):192-195
-
Pubmed ID:34932445
-
Pubmed Central ID:PMC8714216
-
Document Type:
-
Place as Subject:
-
Volume:28
-
Issue:1
-
Collection(s):
-
Main Document Checksum:urn:sha-512:70fecdea30137fd0e277b41d1745a149da649bcbe41b4bf239da6cb84d4d8b307d347af92160822a6ad454d2f60fb140298edff50e262da51ebbd5ff52f3529f
-
Download URL:
-
File Type:
Supporting Files
File Language:
English
ON THIS PAGE
CDC STACKS serves as an archival repository of CDC-published products including
scientific findings,
journal articles, guidelines, recommendations, or other public health information authored or
co-authored by CDC or funded partners.
As a repository, CDC STACKS retains documents in their original published format to ensure public access to scientific information.
As a repository, CDC STACKS retains documents in their original published format to ensure public access to scientific information.
You May Also Like
COLLECTION
Emerging Infectious Diseases