U.S. flag An official website of the United States government.
Official websites use .gov

A .gov website belongs to an official government organization in the United States.

Secure .gov websites use HTTPS

A lock ( ) or https:// means you've safely connected to the .gov website. Share sensitive information only on official, secure websites.

i

Etymologia: Prototheca [pro″to-the′kə]

Supporting Files Public Domain
File Language:
English


Details

  • Alternative Title:
    Emerg Infect Dis
  • Personal Author:
  • Description:
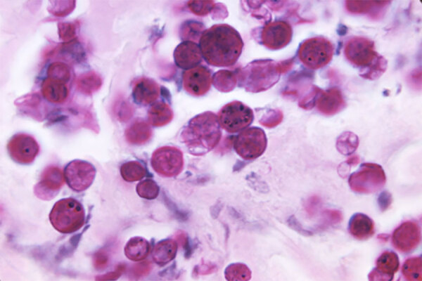
    From the Greek proto- (fi rst) + thēkē (sheath), Prototheca is a genus of variably shaped spherical cells of achloric algae in the family Chlorellaceae. Wilhelm Krüger, a German expert in plant physiology and sugar production, reported Prototheca microorganisms in 1894, shortly after spending 7 years in Java studying sugarcane. He isolated Prototheca species from the sap of 3 tree species. Krüger named these organisms as P. moriformis and P. zopfi i, the second name as a tribute to Friedrich Wilhelm Zopf, a renowned botanist, mycologist, and lichenologist.
  • Subjects:
  • Source:
    Emerg Infect Dis. 27(11):2891
  • Pubmed Central ID:
    PMC8544978
  • Document Type:
  • Genre:
  • Volume:
    27
  • Issue:
    11
  • Collection(s):
  • Main Document Checksum:
    urn:sha256:b168b5362bdd121ae8d8fb8d713f1a7302a86eaca32679ad28f1aa1158f9566c
  • Download URL:
  • File Type:
    Filetype[PDF - 949.81 KB ]
File Language:
English
ON THIS PAGE

CDC STACKS serves as an archival repository of CDC-published products including scientific findings, journal articles, guidelines, recommendations, or other public health information authored or co-authored by CDC or funded partners.

As a repository, CDC STACKS retains documents in their original published format to ensure public access to scientific information.