First Case of 2019 Novel Coronavirus in the United States
Supporting Files
Public Domain
-
January 31 2020
-
File Language:
English
Details
-
Alternative Title:N Engl J Med
-
Personal Author:Holshue, Michelle L. ; DeBolt, Chas ; Lindquist, Scott ; Lofy, Kathy H. ; Wiesman, John ; Bruce, Hollianne ; Spitters, Christopher ; Ericson, Keith ; Wilkerson, Sara ; Tural, Ahmet ; Diaz, George ; Cohn, Amanda ; Fox, LeAnne ; Patel, Anita ; Gerber, Susan I. ; Kim, Lindsay ; Tong, Suxiang ; Lu, Xiaoyan ; Lindstrom, Steve ; Pallansch, Mark A. ; Weldon, William C. ; Biggs, Holly M. ; Uyeki, Timothy M. ; Pillai, Satish K. ; Holshue, Michelle L. ; DeBolt, Chas ; Lindquist, Scott ; Lofy, Kathy H. ; Wiesman, John ; Bruce, Hollianne ; Spitters, Christopher ; Ericson, Keith ; Wilkerson, Sara ; Tural, Ahmet ; Diaz, George ; Cohn, Amanda ; Fox, LeAnne ; Patel, Anita ; Gerber, Susan I. ; Kim, Lindsay ; Tong, Suxiang ; Lu, Xiaoyan ; Lindstrom, Steve ; Pallansch, Mark A. ; Weldon, William C. ; Biggs, Holly M. ; Uyeki, Timothy M. ; Pillai, Satish K.
-
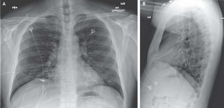
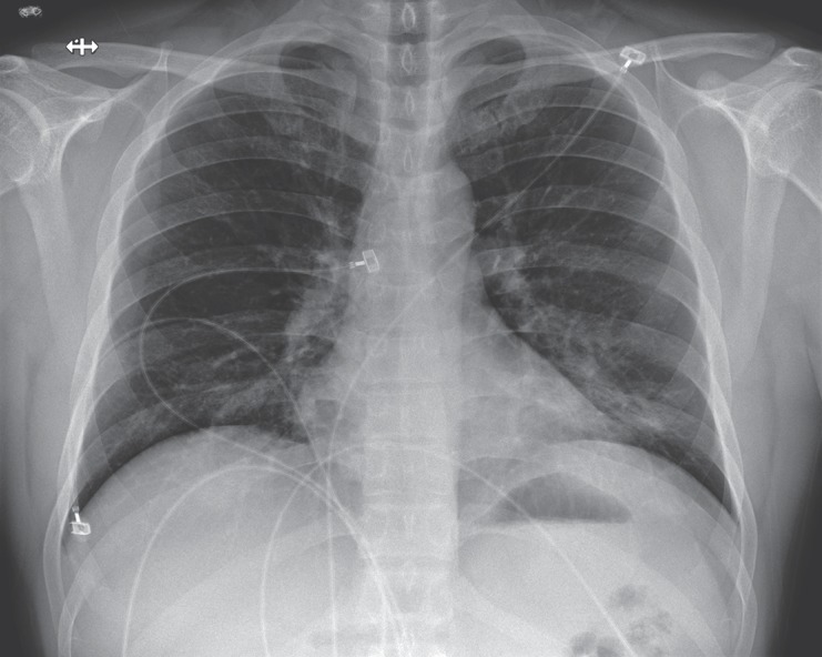
Description:An outbreak of novel coronavirus (2019-nCoV) that began in Wuhan, China, has spread rapidly, with cases now confirmed in multiple countries. We report the first case of 2019-nCoV infection confirmed in the United States and describe the identification, diagnosis, clinical course, and management of the case, including the patient's initial mild symptoms at presentation with progression to pneumonia on day 9 of illness. This case highlights the importance of close coordination between clinicians and public health authorities at the local, state, and federal levels, as well as the need for rapid dissemination of clinical information related to the care of patients with this emerging infection.
-
Subjects:
-
Source:N Engl J Med. 2020; 382(10):929-936 ; N Engl J Med. 2020; 382(10):929-936
-
Pubmed ID:32004427
-
Pubmed Central ID:PMC7092802
-
Document Type:
-
Place as Subject:
-
Volume:382
-
Issue:10
-
Collection(s):
-
Main Document Checksum:urn:sha256:12685f374f6aac2526e3c96da060bb755416a8fc7886b7ed3de3f5b8e9c50f61
-
Download URL:
-
File Type:
Supporting Files
File Language:
English
ON THIS PAGE
CDC STACKS serves as an archival repository of CDC-published products including
scientific findings,
journal articles, guidelines, recommendations, or other public health information authored or
co-authored by CDC or funded partners.
As a repository, CDC STACKS retains documents in their original published format to ensure public access to scientific information.
As a repository, CDC STACKS retains documents in their original published format to ensure public access to scientific information.
You May Also Like
COLLECTION
CDC Public Access