Long-term Sequelae of Smoking and Cessation in Spontaneously Hypertensive Rats
Supporting Files
-
4 2020
-
File Language:
English
Details
-
Alternative Title:Toxicol Pathol
-
Personal Author:
-
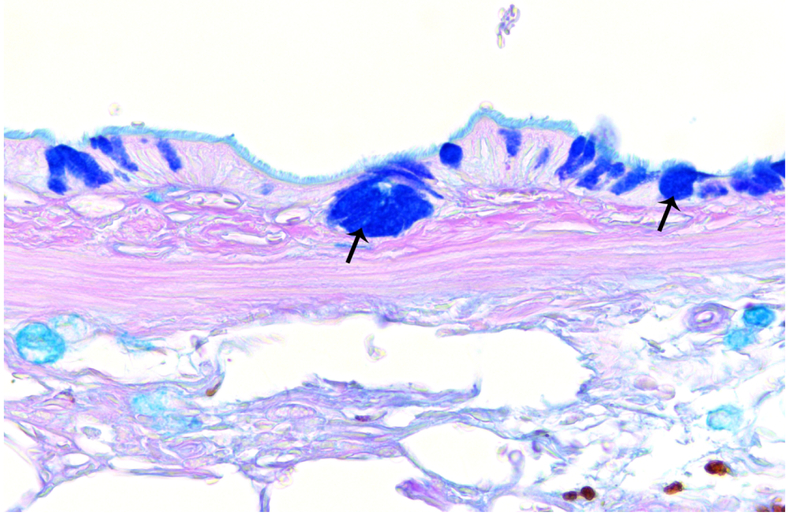
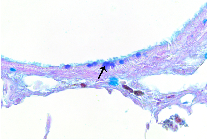
Description:Smoking is a major risk factor for heart attack, stroke, and lung cancer. Tobacco smoke (TS) causes bronchitis, emphysema, persistent cough, and dyspnea. Smoking cessation minimizes risks of TS-related disease. To determine whether smoking cessation could reverse TS-induced pulmonary changes, 10-week-old male spontaneously hypertensive rats were exposed to TS or filtered air (FA) for 39 weeks and allowed to live out their normal lifespan. Significantly (| ≤ .05) decreased survival was noted by 21 months in TS versus FA rats. In TS rats, persistent peribronchiolar, perivascular, alveolar, and subpleural inflammation were observed with pervasive infiltration of pigmented foamy macrophages and plausible intra-alveolar fibrosis and osseous metaplasia. Alveolar airspace was significantly (| ≤ .05) increased in TS versus FA rats as was the volume of stored epithelial mucosubstances in the left central axial airway. Increased mucin contributes to airflow obstruction and increased lung infection risks. Findings suggest TS-induced changes do not attenuate with smoking cessation but result in irreversible damage similar to chronic obstructive pulmonary disease. The observed persistent pulmonary changes mirror common TS effects such as chest congestion, sputum production, and shortness of breath long after smoking cessation and represent important targets for treatment of former smokers.
-
Subjects:
-
Keywords:
-
Source:Toxicol Pathol. 48(3):422-436
-
Pubmed ID:31870229
-
Pubmed Central ID:PMC7113118
-
Document Type:
-
Funding:
-
Volume:48
-
Issue:3
-
Collection(s):
-
Main Document Checksum:urn:sha256:e8c2222df4de1f9e182637c2eafd0fc4d399427604785056c7c4b3c3d50d63de
-
Download URL:
-
File Type:
Supporting Files
File Language:
English
ON THIS PAGE
CDC STACKS serves as an archival repository of CDC-published products including
scientific findings,
journal articles, guidelines, recommendations, or other public health information authored or
co-authored by CDC or funded partners.
As a repository, CDC STACKS retains documents in their original published format to ensure public access to scientific information.
As a repository, CDC STACKS retains documents in their original published format to ensure public access to scientific information.
You May Also Like
COLLECTION
CDC Public Access