U.S. flag An official website of the United States government.
Official websites use .gov

A .gov website belongs to an official government organization in the United States.

Secure .gov websites use HTTPS

A lock ( ) or https:// means you've safely connected to the .gov website. Share sensitive information only on official, secure websites.

i

Di-Lysine-Methylene Diphenyl Diisocyanate (MDI), a Urine Biomarker of MDI Exposure?

Supporting Files
File Language:
English


Details

  • Alternative Title:
    Chem Res Toxicol
  • Personal Author:
  • Description:
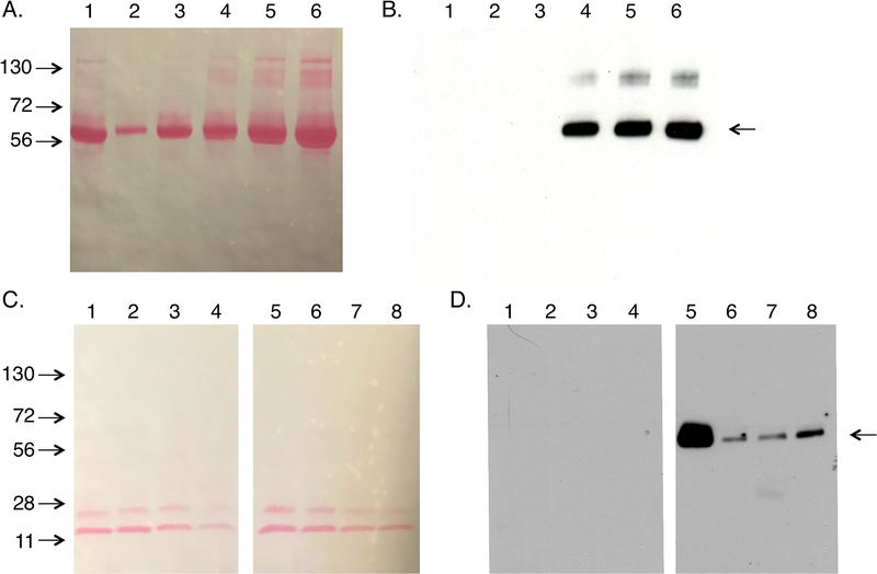
    Biomonitoring of methylene diphenyl diisocyanate (MDI) in urine may be useful in industrial hygiene and exposure surveillance approaches toward disease (occupational asthma) prevention and in understanding pathways by which the internalized chemical is excreted. We explored possible urine biomarkers of MDI exposure in mice after respiratory tract exposure to MDI, as glutathione (GSH) reaction products (MDI-GSH), and after skin exposure to MDI dissolved in acetone. LC-MS analyses of urine identified a unique m/ z 543.29 [M + H]| ion from MDI-exposed mice but not from controls. The m/ z 543.29 [M + H]| ion was detectable within 24 h of a single MDI skin exposure and following multiple respiratory tract exposures to MDI-GSH reaction products. The m/ z 543.29 [M + H]| ion possessed properties of dilysine-MDI, including (a) an isotope distribution pattern for a molecule with the chemical formula C|H|N|O|, (b) the expected collision-induced dissociation (CID) fragmentation pattern upon MS/MS, and (c) a retention time in reversed-phase LC-MS identical to that of synthetic dilysine-MDI. Further MDI-specific Western blot studies suggested albumin (which contains multiple dilysine sites susceptible to MDI carbamylation) as a possible source for dilysine-MDI and the presence of MDI-conjugated albumin in urine up to 6 days after respiratory tract exposure. Two additional [M + H]| ions ( m/ z 558.17 and 863.23) were found exclusively in urine of mice exposed to MDI-GSH via the respiratory tract and possessed characteristics of previously described cyclized MDI-GSH and oxidized glutathione (GSSG)-MDI conjugates, respectively. Together the data identify urinary biomarkers of MDI exposure in mice and possible guidance for future translational investigation.
  • Keywords:
  • Source:
    Chem Res Toxicol. 32(4):557-565
  • Pubmed ID:
    30724074
  • Pubmed Central ID:
    PMC6465083
  • Document Type:
  • Funding:
  • Volume:
    32
  • Issue:
    4
  • Collection(s):
  • Main Document Checksum:
    urn:sha256:74f8fc0d5e2798fe93fa3a70fd4c334a38a7494f023f7fd02d8753039ece85be
  • Download URL:
  • File Type:
    Filetype[PDF - 1.52 MB ]
File Language:
English
ON THIS PAGE

CDC STACKS serves as an archival repository of CDC-published products including scientific findings, journal articles, guidelines, recommendations, or other public health information authored or co-authored by CDC or funded partners.

As a repository, CDC STACKS retains documents in their original published format to ensure public access to scientific information.