U.S. flag An official website of the United States government.
Official websites use .gov

A .gov website belongs to an official government organization in the United States.

Secure .gov websites use HTTPS

A lock ( ) or https:// means you've safely connected to the .gov website. Share sensitive information only on official, secure websites.

i

The aryl hydrocarbon receptor interacts with nuclear factor erythroid 2-related factor 2 to mediate induction of NAD(P)H: quinoneoxidoreductase 1 by 2,3,7,8-tetrachlorodibenzo-p-dioxin

Supporting Files


Details

  • Alternative Title:
    Arch Biochem Biophys
  • Personal Author:
  • Description:
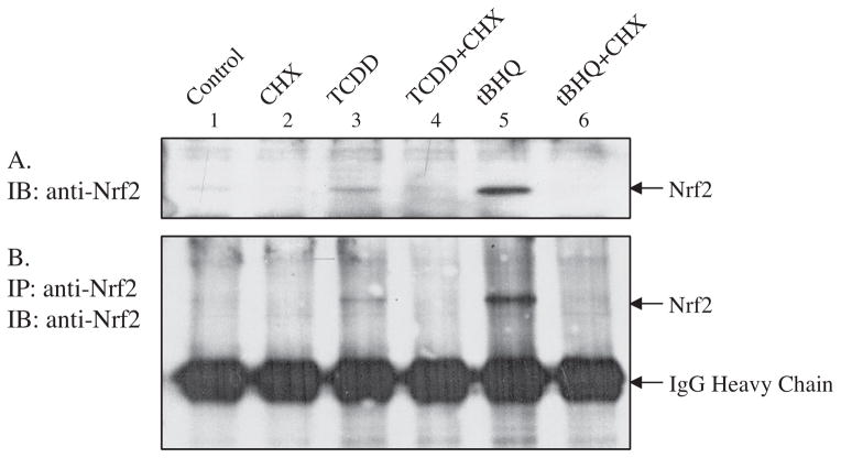
    NAD(P)H:quinoneoxidoreductase 1 (NQO1) belongs to a group of the aryl hydrocarbon receptor (AhR) battery of drug-metabolizing enzymes that are characteristically induced by both AhR agonists and nuclear factor erythroid 2-related factor 2 (Nrf2) activators. We have previously reported that induction of Nqo1 by the AhR agonist 2,3,7,8-tetrachlorodibenzo-p-dioxin (TCDD) in hepa1c1c7 cells involves Nrf2 (Ma et al., Biochem J 377, 205-213, 2004). Here we analyzed the molecular mechanism of induction. Induction required AhR and its DNA-binding partner Arnt because induction was not observed in AhR or Arnt-defective cells, but induction was restored upon reconstitution of the variant cells with functional AhR or Arnt. Induction also required Nrf2, as induction by benzo[a]pyrene was lost in the liver of Nrf2 knockout mice similarly to induction by butyl hydroxyanisol, demonstrating a cross-interaction between the AhR and Nrf2 pathways for induction in vivo. TCDD increased the protein level and induced the nuclear accumulation of Nrf2 with a delayed kinetics compared with activation of AhR. Chromatin immunoprecipitation revealed that TCDD recruited both AhR and Nrf2 to the Nqo1 promoter enhancer region containing a DRE and an ARE in time-dependent manners. Co-immunoprecipitation experiments revealed that, in addition to AhR-Arnt binding, TCDD induced an interaction between AhR and Nrf2 as well as Keap1. The findings reveal that TCDD induces multi protein complexes to mediate cross-interaction between the AhR and Nrf2 pathways, uncovering a novel mechanistic aspect of gene regulation by environmental chemicals through AhR and Nrf2.
  • Subjects:
  • Source:
    Arch Biochem Biophys. 537(1):31-38.
  • Pubmed ID:
    23800876
  • Pubmed Central ID:
    PMC4597779
  • Document Type:
  • Funding:
  • Volume:
    537
  • Issue:
    1
  • Collection(s):
  • Main Document Checksum:
    urn:sha256:ab9f44b8c5b34ca2924af1fec02eefe6262b5b233e6b60679e3e86a5797ac13b
  • Download URL:
  • File Type:
    Filetype[PDF - 1.57 MB ]
ON THIS PAGE

CDC STACKS serves as an archival repository of CDC-published products including scientific findings, journal articles, guidelines, recommendations, or other public health information authored or co-authored by CDC or funded partners.

As a repository, CDC STACKS retains documents in their original published format to ensure public access to scientific information.