U.S. flag An official website of the United States government.
Official websites use .gov

A .gov website belongs to an official government organization in the United States.

Secure .gov websites use HTTPS

A lock ( ) or https:// means you've safely connected to the .gov website. Share sensitive information only on official, secure websites.

i

Assessing the Effects of Biomechanical Overload on Dairy Parlor Workers' Wrist: Definition of a Study Approach and Preliminary Results

Supporting Files
File Language:
English


Details

  • Alternative Title:
    Work
  • Personal Author:
  • Description:
    Background:

    Dairy milking is a demanding work task that has been associated with hand and wrist musculoskeletal disorders. Clinical approaches to identify the early effects of musculoskeletal disorders among dairy parlor workers' wrist have not been well defined.

    Objectives:

    The purpose of this pilot study was to develop a study protocol that would assist in the identification and quantification of hand and wrist disorders among dairy workers that perform tasks in the dairy parlor. Additionally, such a study protocol was needed to perform relatively rapid assessments of the wrist/hand on large samples of dairy workers.

    Methods:

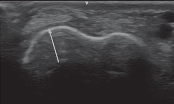
    Fourteen dairy parlor workers were assessed for i) upper limb symptoms and work history through questionnaire, ii) a physical examination of the upper limb and in particular wrists and iii) wrist ultrasonography. An additional 21 unexposed paired participants (the control group) also participated in the data collection.

    Results:

    The study results identified two ultrasound acoustic windows characterized by the highest predictive value for alteration of the wrist's structure. Study results indicated an impairment of the distal median nerve in structure and mobility and impairment of the distal tendon of the muscle extensor carpi ulnaris that included dislocation and frank damage.

    Conclusions:

    This study identified at least two acoustic windows that should be assessed with ultrasound studies on larger groups and in prospective periodical health surveillance of dairy workers. The study confirmed the wrist was at risk for biomechanical stress among workers conducting milking tasks in the dairy parlors.

  • Subjects:
  • Keywords:
  • Source:
    Work. 55(4):747-756
  • Pubmed ID:
    28059827
  • Pubmed Central ID:
    PMC9491335
  • Document Type:
  • Funding:
  • Volume:
    55
  • Issue:
    4
  • Collection(s):
  • Main Document Checksum:
    urn:sha-512:96c9d85f652a48a526e067d23cbece4c54f88431f3925ab1c860935ade24b8defac87d9dfa48bbae4cb24d43b2c89a67a7c7777808731361892b40fa967b6d6b
  • Download URL:
  • File Type:
    Filetype[PDF - 1.54 MB ]
File Language:
English
ON THIS PAGE

CDC STACKS serves as an archival repository of CDC-published products including scientific findings, journal articles, guidelines, recommendations, or other public health information authored or co-authored by CDC or funded partners.

As a repository, CDC STACKS retains documents in their original published format to ensure public access to scientific information.