U.S. flag An official website of the United States government.
Official websites use .gov

A .gov website belongs to an official government organization in the United States.

Secure .gov websites use HTTPS

A lock ( ) or https:// means you've safely connected to the .gov website. Share sensitive information only on official, secure websites.

i

Nivolumab-induced peritonitis with peritoneal mesothelial hyperplasia mimicking metastatic mesothelioma

Supporting Files
File Language:
English


Details

  • Alternative Title:
    AJSP Rev Rep
  • Personal Author:
  • Description:
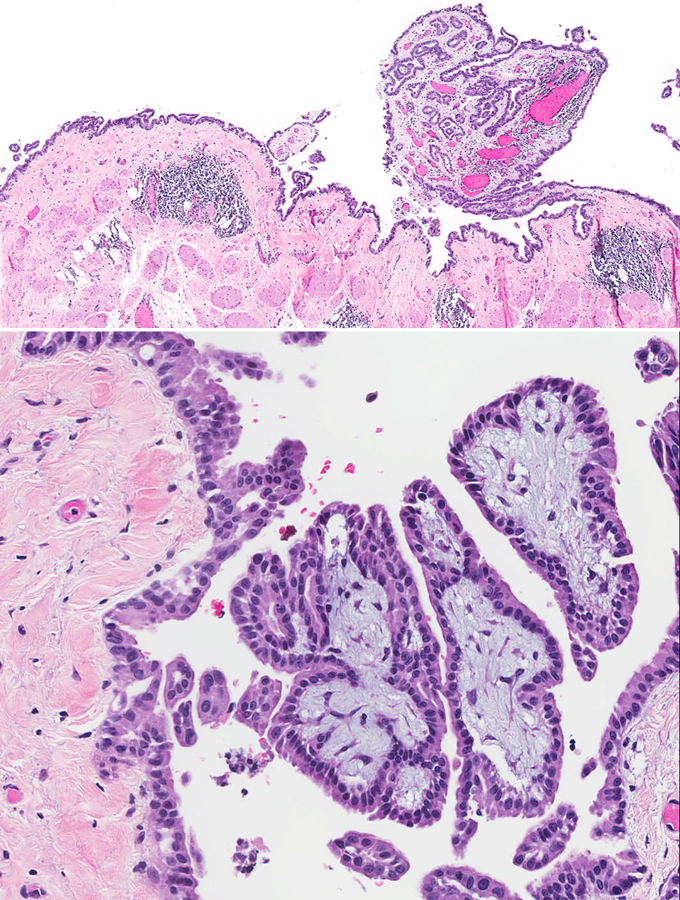
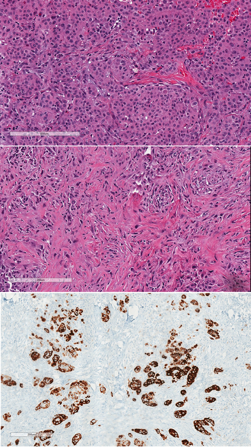
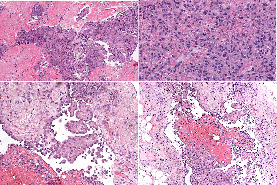
    A 57-year-old man developed a mesothelial proliferation in the peritoneum, several months after he was diagnosed with biopsy-proven epithelioid mesothelioma of the pleura and having undergone several treatments with checkpoint inhibitor immunotherapy. The differential diagnosis was metastatic mesothelioma from the lung primary, versus a reactive process. A diagnosis of atypical mesothelial proliferation was made. Follow-up CT showed no evidence of abdominal disease 5 months later. The complication of serositis following checkpoint inhibitor therapy is reviewed, as well as the differential diagnosis between reactive mesothelial hyperplasia and epithelioid mesothelioma.
  • Source:
    AJSP Rev Rep. 27(3):98-102
  • Pubmed ID:
    35721693
  • Pubmed Central ID:
    PMC9201942
  • Document Type:
  • Funding:
  • Volume:
    27
  • Issue:
    3
  • Collection(s):
  • Main Document Checksum:
    urn:sha-512:9481c18ffcbb0f1d9aa65221e78041f9460cbe8d08bb8c02d7013972fa551b89cb3791e8b1a9dbd07f22b067078bf2f709fe5ffd121f250f201b085adf3b80a7
  • Download URL:
  • File Type:
    Filetype[PDF - 1.79 MB ]
File Language:
English
ON THIS PAGE

CDC STACKS serves as an archival repository of CDC-published products including scientific findings, journal articles, guidelines, recommendations, or other public health information authored or co-authored by CDC or funded partners.

As a repository, CDC STACKS retains documents in their original published format to ensure public access to scientific information.