Human exposures to Brucella canis from a pregnant dog during an international flight: Public health risks, diagnostic challenges and future considerations
Supporting Files
-
9 2024
-
File Language:
English
Details
-
Alternative Title:Zoonoses Public Health
-
Personal Author:Williams, Cara
;
Swisher, Samantha
;
Miller, Nicholas
;
Pinn-Woodcock, Toby
;
Austin, Connie
;
Hsiao, Shih-Hsuan
;
Arenas-Gamboa, Angela M.
;
Tiller, Rebekah
;
Thacker, Tyler
;
Taetzsch, Sara
;
Franklin-Guild, Rebecca
;
Cutter, Laurel
;
Quance, Christine
;
Hung, Chien-Che
;
Maddox, Carol W.
;
Ernst, Mark
;
Guarino, Cassandra
;
Lanka, Saraswathi
;
Garcia-Gonzalez, Daniel G.
;
Slager, Staci
;
Sunavala, Zenia
;
Brown, Clive
;
Negron, Maria
;
Pieracci, Emily G.
-
Description:Aims:
This report documents the exposure of passengers and crew of a commercial international flight to the zoonotic pathogen Brucella canis after an infected dog aborted in the passenger cabin of the aircraft. This case demonstrates the challenges associated with brucellosis screening and the risks that airline personnel, airport employees and travellers face when animals with unrecognized zoonotic infections are transported.
Methods/Results:
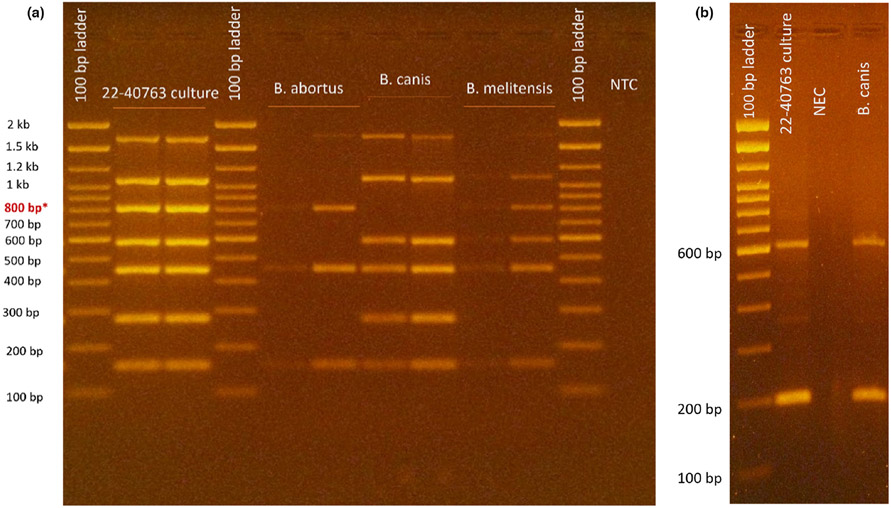
The public health investigation of this case was conducted by the Centers for Disease Control, the Illinois Department of Health and the Illinois Department of Agriculture, in collaboration with a local veterinary clinic and several academic and federal diagnostic laboratories. It included an extensive diagnostic evaluation of the dam and aborted foetuses to confirm a diagnosis of canine brucellosis. Passengers, airline personnel and staff from the veterinary clinic where the dogs were treated underwent risk assessments, and clinic staff also received detailed guidance regarding infection prevention practices.
Conclusions:
Animal shelters and breeding programs are recommended to screen dogs routinely for brucellosis, but it is not unusual for domestic or imported animals to have unknown health histories, including the dog's brucellosis status, at the time of purchase, adoption, or re-homing. Testing recommendations and requirements vary by state, making it challenging for state public health and animal health agencies to monitor and respond appropriately. This case highlights the importance of Brucella spp. screening in sexually intact dogs prior to breeding, purchase, or domestic or international transportation of the dogs. The transportation of pregnant dogs may present a previously unrecognized public health threat in addition to contributing to unnecessary stress and health risks for pregnant animals.
-
Subjects:
-
Keywords:
-
Source:Zoonoses Public Health. 71(6):629-641
-
Pubmed ID:38459616
-
Pubmed Central ID:PMC11368655
-
Document Type:
-
Funding:
-
Volume:71
-
Issue:6
-
Collection(s):
-
Main Document Checksum:urn:sha-512:683e8f0218e1e6659a5e2fe734f1ccf702417607bf3df0ba9dd659fe9763d92143ad6dac656fe75abba64ca52a365476add0c5c18491c3838618a7f90c28b2bf
-
Download URL:
-
File Type:
Supporting Files
File Language:
English
ON THIS PAGE
CDC STACKS serves as an archival repository of CDC-published products including
scientific findings,
journal articles, guidelines, recommendations, or other public health information authored or
co-authored by CDC or funded partners.
As a repository, CDC STACKS retains documents in their original published format to ensure public access to scientific information.
As a repository, CDC STACKS retains documents in their original published format to ensure public access to scientific information.
You May Also Like
COLLECTION
CDC Public Access