U.S. flag An official website of the United States government.
Official websites use .gov

A .gov website belongs to an official government organization in the United States.

Secure .gov websites use HTTPS

A lock ( ) or https:// means you've safely connected to the .gov website. Share sensitive information only on official, secure websites.

i

Potent lung tumor promotion by inhaled MWCNT

Supporting Files
File Language:
English


Details

  • Alternative Title:
    Nanotoxicology
  • Personal Author:
  • Description:
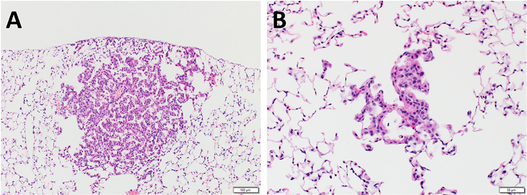
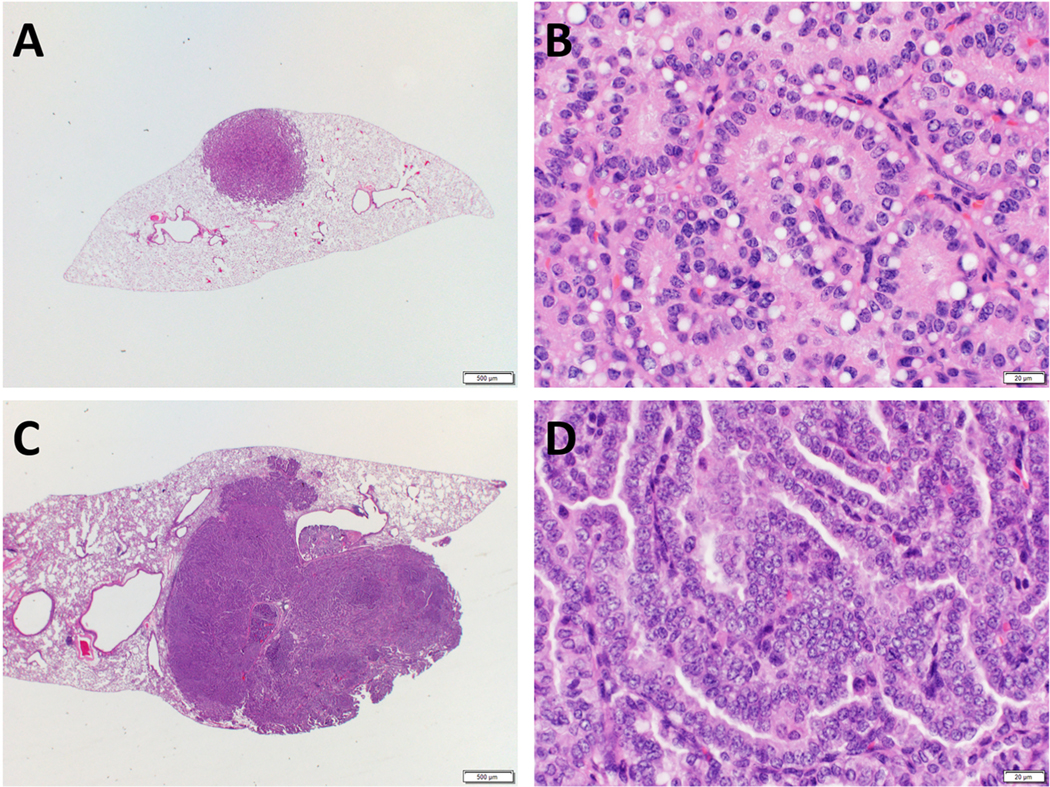
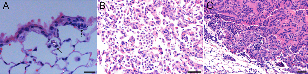
    In the lung, carcinogenesis is a multi-stage process that includes initiation by a genotoxic agent, promotion that expands the population of cells with damaged DNA to form a tumor, and progression from benign to malignant neoplasms. We have previously shown that Mitsui-7, a long and rigid multi-walled carbon nanotube (MWCNT), promotes pulmonary carcinogenesis in a mouse model. To investigate the potential exposure threshold and dose-response for tumor promotion by this MWCNT, 3-methylcholanthrene (MC) initiated (10 μg/g, i.p., once) or vehicle (corn oil) treated B6C3F1 mice were exposed by inhalation to filtered air or MWCNT (5 mg/m|) for 5 h/day for 0, 2, 5, or 10 days and were followed for 17 months post-exposure for evidence of lung tumors. Pulmonary neoplasia incidence in MC-initiated mice significantly increased with each MWCNT exposure duration. Exposure to either MC or MWCNT alone did not affect pulmonary neoplasia incidence compared with vehicle controls. Lung tumor multiplicity in MC-initiated mice also significantly increased with each MWCNT exposure duration. Thus, a significantly higher lung tumor multiplicity was observed after a 10-day MWCNT exposure than following a 2-day exposure. Both bronchioloalveolar adenoma and bronchioloalveolar adenocarcinoma multiplicity in MC-initiated mice were significantly increased following 5- and 10-day MWCNT exposure, while a 2-day MWCNT exposure in MC-initiated mice significantly increased the multiplicity of adenomas but not adenocarcinomas. In this study, even the lowest MWCNT exposure promoted lung tumors in MC-initiated mice. Our findings indicate that exposure to this MWCNT strongly promotes pulmonary carcinogenesis.
  • Subjects:
  • Keywords:
  • Source:
    Nanotoxicology. 18(1):69-86
  • Pubmed ID:
    38420937
  • Pubmed Central ID:
    PMC11057902
  • Document Type:
  • Funding:
  • Volume:
    18
  • Issue:
    1
  • Collection(s):
  • Main Document Checksum:
    urn:sha-512:87a62281325aea91a86ea9fe679f3da8a4b1f8e71012091474005a5e8688b6bd5bc3a0fb0960e88e353795ebff14dbfede15ffcd517e19a63b931460cfeb319c
  • Download URL:
  • File Type:
    Filetype[PDF - 2.15 MB ]
File Language:
English
ON THIS PAGE

CDC STACKS serves as an archival repository of CDC-published products including scientific findings, journal articles, guidelines, recommendations, or other public health information authored or co-authored by CDC or funded partners.

As a repository, CDC STACKS retains documents in their original published format to ensure public access to scientific information.